Description:Rabbit polyclonal antibody to UBE2CImmunogen:Recombinant full length protein of human UBE2CPurification:The antibody was purified by immunogen affinity chromatography.Clonality:PolyclonalForm:Liquid in 0.42% Potassium phosphate, 0.87% Sodium chloride, pH 7.3, 30% glycerol, and 0.01% sodium azide.Dilution:WB (1/500 - 1/2000), IH (1/50 - 1/200), IF/IC (1/50 - 1/200)Gene Symbol:UBE2CAlternative Names:UBCH10; Ubiquitin-conjugating enzyme E2 C; UbcH10; Ubiquitin carrier protein C; Ubiquitin-protein ligase C
Entrez Gene (Human):
11065;
Entrez Gene (Mouse):
68612;
SwissProt (Human):
O00762;
SwissProt (Mouse):
Q9D1C1;
Storage/Stability:Shipped at 4°C. Upon delivery aliquot and store at -20°C for one year. Avoid freeze/thaw cycles.
-
Western blot analysis of UBE2C expression in THP1 (A), SW620 (B), SKOV3 (C) whole cell lysates. (Predicted band size: 15; 16; 17; 19 kD; Observed band size: 20 kD) -
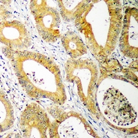
Immunohistochemical analysis of UBE2C staining in human colon cancer formalin fixed paraffin embedded tissue section. The section was pre-treated using heat mediated antigen retrieval with sodium citrate buffer (pH 6.0). The section was then incubated with the antibody at room temperature and detected using an HRP conjugated compact polymer system. DAB was used as the chromogen. The section was then counterstained with haematoxylin and mounted with DPX. -
Immunofluorescent analysis of UBE2C staining in Hela cells. Formalin-fixed cells were permeabilized with 0.1% Triton X-100 in TBS for 5-10 minutes and blocked with 3% BSA-PBS for 30 minutes at room temperature. Cells were probed with the primary antibody in 3% BSA-PBS and incubated overnight at 4 °C in a hidified chamber. Cells were washed with PBST and incubated with a DyLight 594-conjugated secondary antibody (red) in PBS at room temperature in the dark.


Datasheet
MSDS