Description:Rabbit polyclonal antibody to Sm EImmunogen:Recombinant full length protein of human Sm EPurification:The antibody was purified by immunogen affinity chromatography.Clonality:PolyclonalForm:Liquid in 0.42% Potassium phosphate, 0.87% Sodium chloride, pH 7.3, 30% glycerol, and 0.01% sodium azide.Dilution:WB (1/500 - 1/1000), IH (1/50 - 1/200)Gene Symbol:SNRPEAlternative Names:Small nuclear ribonucleoprotein E; snRNP-E; Sm protein E; Sm-E; SmE
Entrez Gene (Human):
6635;
Entrez Gene (Mouse):
20643;
SwissProt (Human):
P62304;
SwissProt (Mouse):
P62305;
Storage/Stability:Shipped at 4°C. Upon delivery aliquot and store at -20°C for one year. Avoid freeze/thaw cycles.
-
Western blot analysis of Sm E expression in A549 (A), K562 (B), HepG2 (C) whole cell lysates. (Predicted band size: 10 kD; Observed band size: 11 kD) -
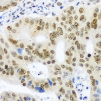
Immunohistochemical analysis of Sm E staining in human colon cancer formalin fixed paraffin embedded tissue section. The section was pre-treated using heat mediated antigen retrieval with sodium citrate buffer (pH 6.0). The section was then incubated with the antibody at room temperature and detected using an HRP conjugated compact polymer system. DAB was used as the chromogen. The section was then counterstained with haematoxylin and mounted with DPX.


Datasheet
MSDS