Description:Rabbit polyclonal antibody to PRPF3Immunogen:Recombinant full length protein of human PRPF3Purification:The antibody was purified by immunogen affinity chromatography.Clonality:PolyclonalForm:Liquid in 0.42% Potassium phosphate, 0.87% Sodium chloride, pH 7.3, 30% glycerol, and 0.01% sodium azide.Dilution:WB (1/500 - 1/2000), IH (1/50 - 1/200), IF/IC (1/50 - 1/200)Gene Symbol:PRPF3Alternative Names:HPRP3; PRP3; U4/U6 small nuclear ribonucleoprotein Prp3; Pre-mRNA-splicing factor 3; hPrp3; U4/U6 snRNP 90 kDa protein
Entrez Gene (Human):
9129;
Entrez Gene (Mouse):
70767;
SwissProt (Human):
O43395;
SwissProt (Mouse):
Q922U1;
Storage/Stability:Shipped at 4°C. Upon delivery aliquot and store at -20°C for one year. Avoid freeze/thaw cycles.
-
Western blot analysis of PRPF3 expression in A549 (A), HepG2 (B), THP1 (C), mouse spleen (D), mouse testis (E) whole cell lysates. (Predicted band size: 31; 77 kD; Observed band size: 90 kD) -
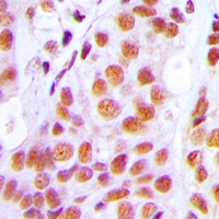
Immunohistochemical analysis of PRPF3 staining in human breast cancer formalin fixed paraffin embedded tissue section. The section was pre-treated using heat mediated antigen retrieval with sodium citrate buffer (pH 6.0). The section was then incubated with the antibody at room temperature and detected using an HRP conjugated compact polymer system. DAB was used as the chromogen. The section was then counterstained with haematoxylin and mounted with DPX. -
Immunofluorescent analysis of PRPF3 staining in U2OS cells. Formalin-fixed cells were permeabilized with 0.1% Triton X-100 in TBS for 5-10 minutes and blocked with 3% BSA-PBS for 30 minutes at room temperature. Cells were probed with the primary antibody in 3% BSA-PBS and incubated overnight at 4 °C in a hidified chamber. Cells were washed with PBST and incubated with a DyLight 594-conjugated secondary antibody (red) in PBS at room temperature in the dark.


Datasheet
MSDS