Description:Rabbit polyclonal antibody to BCL11AImmunogen:Recombinant full length protein of human BCL11APurification:The antibody was purified by immunogen affinity chromatography.Clonality:PolyclonalForm:Liquid in 0.42% Potassium phosphate, 0.87% Sodium chloride, pH 7.3, 30% glycerol, and 0.01% sodium azide.Dilution:WB (1/500 - 1/2000), IH (1/50 - 1/200)Gene Symbol:BCL11AAlternative Names:CTIP1; EVI9; KIAA1809; ZNF856; B-cell lymphoma/leukemia 11A; BCL-11A; B-cell CLL/lymphoma 11A; COUP-TF-interacting protein 1; Ecotropic viral integration site 9 protein homolog; EVI-9; Zinc finger protein 856
Entrez Gene (Human):
53335;
Entrez Gene (Mouse):
14025;
SwissProt (Human):
Q9H165;
SwissProt (Mouse):
Q9QYE3;
Storage/Stability:Shipped at 4°C. Upon delivery aliquot and store at -20°C for one year. Avoid freeze/thaw cycles.
-
Western blot analysis of BCL11A expression in HT29 (A), Jurkat (B), Hela (C), A549 (D), mouse brain (E) whole cell lysates. (Predicted band size: 15; 26; 30; 83; 86; 87; 91 kD; Observed band size: 113 kD) -
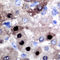
Immunohistochemical analysis of BCL11A staining in human liver cancer formalin fixed paraffin embedded tissue section. The section was pre-treated using heat mediated antigen retrieval with sodium citrate buffer (pH 6.0). The section was then incubated with the antibody at room temperature and detected using an HRP conjugated compact polymer system. DAB was used as the chromogen. The section was then counterstained with haematoxylin and mounted with DPX.


Datasheet
MSDS