Description:Mouse monoclonal antibody to CD74Immunogen:KLH-conjugated synthetic peptide encompassing a sequence within human CD74. The exact sequence is proprietary.Purification:The antibody was purified by immunogen affinity chromatography.Clonality:MonoclonalForm:Mouse IgG1. Liquid in PBS containing 50% glycerol, 0.2% BSA and 0.01% sodium azide.Dilution:IH (1/100 - 1/300)Gene Symbol:CD74Alternative Names:DHLAG; HLA class II histocompatibility antigen gamma chain; HLA-DR antigens-associated invariant chain; Ia antigen-associated invariant chain; Ii; p33; CD74
Entrez Gene (Human):
972;
SwissProt (Human):
P04233;
Storage/Stability:Shipped at 4°C. Upon delivery aliquot and store at -20°C for one year. Avoid freeze/thaw cycles.
-
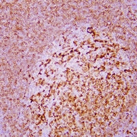
Immunohistochemical analysis of CD74 staining in human tonsil formalin fixed paraffin embedded tissue section. The section was pre-treated using heat mediated antigen retrieval with sodium citrate buffer (pH 6.0). The section was then incubated with the antibody at room temperature and detected using an HRP conjugated compact polymer system. DAB was used as the chromogen. The section was then counterstained with haematoxylin and mounted with DPX.


Datasheet
MSDS