Description:Mouse monoclonal antibody to Cadherin panImmunogen:KLH-conjugated synthetic peptide encompassing a sequence within human Cadherin pan. The exact sequence is proprietary.Purification:The antibody was purified by immunogen affinity chromatography.Clonality:MonoclonalForm:Mouse IgG1. Liquid in PBS containing 50% glycerol, 0.2% BSA and 0.01% sodium azide.Dilution:WB (1/500 - 1/1000), IH (1/100 - 1/300), IF (1/100 - 1/500)Gene Symbol:CDH1; CDH2; CDH3; CDH4Alternative Names:CDHE; UVO; Cadherin-1; CAM 120/80; Epithelial cadherin; E-cadherin; Uvomorulin; CD324; CDHN; NCAD; Cadherin-2; CDw325; Neural cadherin; N-cadherin; CD325; CDHP; Cadherin-3; Placental cadherin; P-cadherin; Cadherin-4; Retinal cadherin; R-CAD; R-cadherin
Entrez Gene (Human):
999;
1000;
1001;
1002;
SwissProt (Human):
P12830;
P19022;
P22223;
P55283;
Storage/Stability:Shipped at 4°C. Upon delivery aliquot and store at -20°C for one year. Avoid freeze/thaw cycles.
-
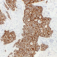
Immunohistochemical analysis of Cadherin pan staining in human breast carcinoma formalin fixed paraffin embedded tissue section. The section was pre-treated using heat mediated antigen retrieval with sodium citrate buffer (pH 6.0). The section was then incubated with the antibody at room temperature and detected using an HRP conjugated compact polymer system. DAB was used as the chromogen. The section was then counterstained with haematoxylin and mounted with DPX. -
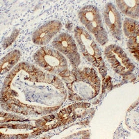
Immunohistochemical analysis of Cadherin pan staining in human colon carcinoma formalin fixed paraffin embedded tissue section. The section was pre-treated using heat mediated antigen retrieval with sodium citrate buffer (pH 6.0). The section was then incubated with the antibody at room temperature and detected using an HRP conjugated compact polymer system. DAB was used as the chromogen. The section was then counterstained with haematoxylin and mounted with DPX.


Datasheet
MSDS