Description:Mouse monoclonal antibody to MUC16Immunogen:KLH-conjugated synthetic peptide encompassing a sequence within human MUC16. The exact sequence is proprietary.Purification:The antibody was purified by immunogen affinity chromatography.Clonality:MonoclonalForm:Mouse IgG1. Liquid in PBS containing 50% glycerol, 0.2% BSA and 0.01% sodium azide.Dilution:IH (1/100 - 1/300)Gene Symbol:MUC16Alternative Names:CA125; Mucin-16; MUC-16; Ovarian cancer-related tumor marker CA125; CA-125; Ovarian carcinoma antigen CA125
Entrez Gene (Human):
94025;
SwissProt (Human):
Q8WXI7;
Storage/Stability:Shipped at 4°C. Upon delivery aliquot and store at -20°C for one year. Avoid freeze/thaw cycles.
-
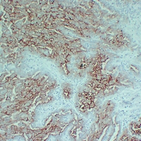
Immunohistochemical analysis of MUC16 staining in human mesothelioma formalin fixed paraffin embedded tissue section. The section was pre-treated using heat mediated antigen retrieval with sodium citrate buffer (pH 6.0). The section was then incubated with the antibody at room temperature and detected using an HRP conjugated compact polymer system. DAB was used as the chromogen. The section was then counterstained with haematoxylin and mounted with DPX. -
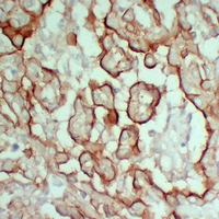
Immunohistochemical analysis of MUC16 staining in human ovarian serous cystadenoma formalin fixed paraffin embedded tissue section. The section was pre-treated using heat mediated antigen retrieval with sodium citrate buffer (pH 6.0). The section was then incubated with the antibody at room temperature and detected using an HRP conjugated compact polymer system. DAB was used as the chromogen. The section was then counterstained with haematoxylin and mounted with DPX.


Datasheet
MSDS