Description:Mouse monoclonal antibody to Topoisomerase 2 alphaImmunogen:KLH-conjugated synthetic peptide encompassing a sequence within human Topoisomerase 2 alpha. The exact sequence is proprietary.Purification:The antibody was purified by immunogen affinity chromatography.Clonality:MonoclonalForm:Mouse IgG1. Liquid in PBS containing 50% glycerol, 0.2% BSA and 0.01% sodium azide.Dilution:WB (1/500 - 1/1000), IH (1/100 - 1/300), IF (1/100 - 1/500)Gene Symbol:TOP2AAlternative Names:TOP2; DNA topoisomerase 2-alpha; DNA topoisomerase II alpha isozyme
Entrez Gene (Human):
7153;
SwissProt (Human):
P11388;
Storage/Stability:Shipped at 4°C. Upon delivery aliquot and store at -20°C for one year. Avoid freeze/thaw cycles.
-
Western blot analysis of Topoisomerase 2 alpha expression in Hela (A), HepG2 (B), K562 (C) whole cell lysates. (Predicted band size: 174 kD; Observed band size: 174 kD) -
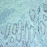
Immunohistochemical analysis of Topoisomerase 2 alpha staining in human colon carcinoma formalin fixed paraffin embedded tissue section. The section was pre-treated using heat mediated antigen retrieval with sodium citrate buffer (pH 6.0). The section was then incubated with the antibody at room temperature and detected using an HRP conjugated compact polymer system. DAB was used as the chromogen. The section was then counterstained with haematoxylin and mounted with DPX. -
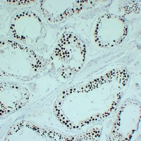
Immunohistochemical analysis of Topoisomerase 2 alpha staining in human testis formalin fixed paraffin embedded tissue section. The section was pre-treated using heat mediated antigen retrieval with sodium citrate buffer (pH 6.0). The section was then incubated with the antibody at room temperature and detected using an HRP conjugated compact polymer system. DAB was used as the chromogen. The section was then counterstained with haematoxylin and mounted with DPX. -
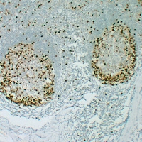
Immunohistochemical analysis of Topoisomerase 2 alpha staining in human tonsil formalin fixed paraffin embedded tissue section. The section was pre-treated using heat mediated antigen retrieval with sodium citrate buffer (pH 6.0). The section was then incubated with the antibody at room temperature and detected using an HRP conjugated compact polymer system. DAB was used as the chromogen. The section was then counterstained with haematoxylin and mounted with DPX.


Datasheet
MSDS