Description:Mouse monoclonal antibody to S100-A1Immunogen:KLH-conjugated synthetic peptide encompassing a sequence within human S100-A1. The exact sequence is proprietary.Purification:The antibody was purified by immunogen affinity chromatography.Clonality:MonoclonalForm:Mouse IgG1. Liquid in PBS containing 50% glycerol, 0.2% BSA and 0.01% sodium azide.Dilution:IH (1/100 - 1/300), IF (1/100 - 1/500)Gene Symbol:S100A1Alternative Names:S100A; Protein S100-A1; S-100 protein alpha chain; S-100 protein subunit alpha; S100 calcium-binding protein A1
Entrez Gene (Human):
6271;
SwissProt (Human):
P23297;
Storage/Stability:Shipped at 4°C. Upon delivery aliquot and store at -20°C for one year. Avoid freeze/thaw cycles.
-
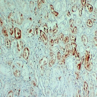
Immunohistochemical analysis of S100-A1 staining in human kidney formalin fixed paraffin embedded tissue section. The section was pre-treated using heat mediated antigen retrieval with sodium citrate buffer (pH 6.0). The section was then incubated with the antibody at room temperature and detected using an HRP conjugated compact polymer system. DAB was used as the chromogen. The section was then counterstained with haematoxylin and mounted with DPX. -
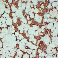
Immunohistochemical analysis of S100-A1 staining in human salivary gland formalin fixed paraffin embedded tissue section. The section was pre-treated using heat mediated antigen retrieval with sodium citrate buffer (pH 6.0). The section was then incubated with the antibody at room temperature and detected using an HRP conjugated compact polymer system. DAB was used as the chromogen. The section was then counterstained with haematoxylin and mounted with DPX.


Datasheet
MSDS