Description:Mouse monoclonal antibody to NucleophosminImmunogen:KLH-conjugated synthetic peptide encompassing a sequence within human Nucleophosmin. The exact sequence is proprietary.Purification:The antibody was purified by immunogen affinity chromatography.Clonality:MonoclonalForm:Mouse IgG1. Liquid in PBS containing 50% glycerol, 0.2% BSA and 0.01% sodium azide.Dilution:WB (1/500 - 1/1000), IH (1/100 - 1/300)Gene Symbol:NPM1Alternative Names:NPM; Nucleophosmin; NPM; Nucleolar phosphoprotein B23; Nucleolar protein NO38; Numatrin
Entrez Gene (Human):
4869;
SwissProt (Human):
P06748;
Storage/Stability:Shipped at 4°C. Upon delivery aliquot and store at -20°C for one year. Avoid freeze/thaw cycles.
-
Western blot analysis of Nucleophosmin expression in HepG2 (A), Hela (B), A431 (C) whole cell lysates. (Predicted band size: 32 kD; Observed band size: 37 kD) -
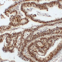
Immunohistochemical analysis of Nucleophosmin staining in human colon carcinoma formalin fixed paraffin embedded tissue section. The section was pre-treated using heat mediated antigen retrieval with sodium citrate buffer (pH 6.0). The section was then incubated with the antibody at room temperature and detected using an HRP conjugated compact polymer system. DAB was used as the chromogen. The section was then counterstained with haematoxylin and mounted with DPX. -
Immunohistochemical analysis of Nucleophosmin staining in human ovarian mucinous formalin fixed paraffin embedded tissue section. The section was pre-treated using heat mediated antigen retrieval with sodium citrate buffer (pH 6.0). The section was then incubated with the antibody at room temperature and detected using an HRP conjugated compact polymer system. DAB was used as the chromogen. The section was then counterstained with haematoxylin and mounted with DPX. -
Immunohistochemical analysis of Nucleophosmin staining in human tonsil formalin fixed paraffin embedded tissue section. The section was pre-treated using heat mediated antigen retrieval with sodium citrate buffer (pH 6.0). The section was then incubated with the antibody at room temperature and detected using an HRP conjugated compact polymer system. DAB was used as the chromogen. The section was then counterstained with haematoxylin and mounted with DPX.


Datasheet
MSDS