Description:Mouse monoclonal antibody to CD325Immunogen:KLH-conjugated synthetic peptide encompassing a sequence within human CD325. The exact sequence is proprietary.Purification:The antibody was purified by immunogen affinity chromatography.Clonality:MonoclonalForm:Mouse IgG2b. Liquid in PBS containing 50% glycerol, 0.2% BSA and 0.01% sodium azide.Dilution:WB (1/500 - 1/1000), IH (1/100 - 1/300)Gene Symbol:CDH2Alternative Names:CDHN; NCAD; Cadherin-2; CDw325; Neural cadherin; N-cadherin; CD325
Entrez Gene (Human):
1000;
SwissProt (Human):
P19022;
Storage/Stability:Shipped at 4°C. Upon delivery aliquot and store at -20°C for one year. Avoid freeze/thaw cycles.
-
Western blot analysis of CD325 expression in HepG2 (A), Hela (B), A431 (C) whole cell lysates. (Predicted band size: 99 kD; Observed band size: 110 kD) -
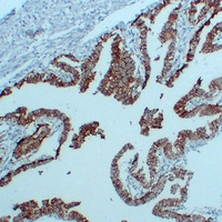
Immunohistochemical analysis of CD325 staining in human fallopian tube formalin fixed paraffin embedded tissue section. The section was pre-treated using heat mediated antigen retrieval with sodium citrate buffer (pH 6.0). The section was then incubated with the antibody at room temperature and detected using an HRP conjugated compact polymer system. DAB was used as the chromogen. The section was then counterstained with haematoxylin and mounted with DPX. -
Immunohistochemical analysis of CD325 staining in human liver formalin fixed paraffin embedded tissue section. The section was pre-treated using heat mediated antigen retrieval with sodium citrate buffer (pH 6.0). The section was then incubated with the antibody at room temperature and detected using an HRP conjugated compact polymer system. DAB was used as the chromogen. The section was then counterstained with haematoxylin and mounted with DPX.


Datasheet
MSDS