Description:Mouse monoclonal antibody to MUC2Immunogen:KLH-conjugated synthetic peptide encompassing a sequence within human MUC2. The exact sequence is proprietary.Purification:The antibody was purified by immunogen affinity chromatography.Clonality:MonoclonalForm:Mouse IgG2b. Liquid in PBS containing 50% glycerol, 0.2% BSA and 0.01% sodium azide.Dilution:IH (1/100 - 1/300)Gene Symbol:MUC2Alternative Names:SMUC; Mucin-2; MUC-2; Intestinal mucin-2
Entrez Gene (Human):
4583;
SwissProt (Human):
Q02817;
Storage/Stability:Shipped at 4°C. Upon delivery aliquot and store at -20°C for one year. Avoid freeze/thaw cycles.
-
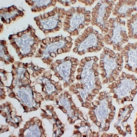
Immunohistochemical analysis of MUC2 staining in human colon formalin fixed paraffin embedded tissue section. The section was pre-treated using heat mediated antigen retrieval with sodium citrate buffer (pH 6.0). The section was then incubated with the antibody at room temperature and detected using an HRP conjugated compact polymer system. DAB was used as the chromogen. The section was then counterstained with haematoxylin and mounted with DPX. -
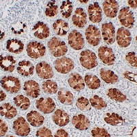
Immunohistochemical analysis of MUC2 staining in human intestine formalin fixed paraffin embedded tissue section. The section was pre-treated using heat mediated antigen retrieval with sodium citrate buffer (pH 6.0). The section was then incubated with the antibody at room temperature and detected using an HRP conjugated compact polymer system. DAB was used as the chromogen. The section was then counterstained with haematoxylin and mounted with DPX.


Datasheet
MSDS