Description:Mouse monoclonal antibody to MAGEC1Immunogen:KLH-conjugated synthetic peptide encompassing a sequence within human MAGEC1. The exact sequence is proprietary.Purification:The antibody was purified by immunogen affinity chromatography.Clonality:MonoclonalForm:Mouse IgG2b. Liquid in PBS containing 50% glycerol, 0.2% BSA and 0.01% sodium azide.Dilution:WB (1/500 - 1/1000), IH (1/100 - 1/300)Gene Symbol:MAGEC1Alternative Names:Melanoma-associated antigen C1; Cancer/testis antigen 7.1; CT7.1; MAGE-C1 antigen
Entrez Gene (Human):
9947;
SwissProt (Human):
O60732;
Storage/Stability:Shipped at 4°C. Upon delivery aliquot and store at -20°C for one year. Avoid freeze/thaw cycles.
-
Western blot analysis of MAGEC1 expression in K562 (A) whole cell lysates. (Predicted band size: 123 kD; Observed band size: 190 kD) -
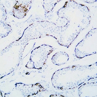
Immunohistochemical analysis of MAGEC1 staining in human testis formalin fixed paraffin embedded tissue section. The section was pre-treated using heat mediated antigen retrieval with sodium citrate buffer (pH 6.0). The section was then incubated with the antibody at room temperature and detected using an HRP conjugated compact polymer system. DAB was used as the chromogen. The section was then counterstained with haematoxylin and mounted with DPX.


Datasheet
MSDS