Description:Mouse monoclonal antibody to Claudin 4Immunogen:KLH-conjugated synthetic peptide encompassing a sequence within human Claudin 4. The exact sequence is proprietary.Purification:The antibody was purified by immunogen affinity chromatography.Clonality:MonoclonalForm:Mouse IgG2b. Liquid in PBS containing 50% glycerol, 0.2% BSA and 0.01% sodium azide.Dilution:WB (1/500 - 1/1000), IH (1/100 - 1/300)Gene Symbol:CLDN4Alternative Names:CPER; CPETR1; WBSCR8; Claudin-4; Clostridium perfringens enterotoxin receptor; CPE-R; CPE-receptor; Williams-Beuren syndrome chromosomal region 8 protein
Entrez Gene (Human):
1364;
SwissProt (Human):
O14493;
Storage/Stability:Shipped at 4°C. Upon delivery aliquot and store at -20°C for one year. Avoid freeze/thaw cycles.
-
Western blot analysis of Claudin 4 expression in LNCaP (A) whole cell lysates. (Predicted band size: 22 kD; Observed band size: 22 kD) -
Immunohistochemical analysis of Claudin 4 staining in human colon formalin fixed paraffin embedded tissue section. The section was pre-treated using heat mediated antigen retrieval with sodium citrate buffer (pH 6.0). The section was then incubated with the antibody at room temperature and detected using an HRP conjugated compact polymer system. DAB was used as the chromogen. The section was then counterstained with haematoxylin and mounted with DPX. -
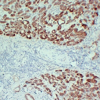
Immunohistochemical analysis of Claudin 4 staining in human pancreatic carcinoma formalin fixed paraffin embedded tissue section. The section was pre-treated using heat mediated antigen retrieval with sodium citrate buffer (pH 6.0). The section was then incubated with the antibody at room temperature and detected using an HRP conjugated compact polymer system. DAB was used as the chromogen. The section was then counterstained with haematoxylin and mounted with DPX.


Datasheet
MSDS