Description:Rabbit polyclonal antibody to Histone H4 (Acetyl-K12)Immunogen:KLH-conjugated synthetic acetylated peptide corresponding to residues surrounding K12 of human Histone H4 protein. The exact sequence is proprietary.Purification:The antibody was purified by immunogen affinity chromatography.Clonality:PolyclonalForm:Liquid in 0.42% Potassium phosphate, 0.87% Sodium chloride, pH 7.3, 30% glycerol, and 0.01% sodium azide.Dilution:WB (1/1000 - 1/2000), IH (1/200 - 1/500)Gene Symbol:HIST1H4A; HIST1H4B; HIST1H4C; HIST1H4D; HIST1H4E; HIST1H4F; HIST1H4H; HIST1H4I; HIST1H4J; HIST1H4K; HIST1H4L; HIST2H4A; HIST2H4B; HIST4H4Alternative Names:H4/A; H4FA; H4/I; H4FI; H4/G; H4FG; H4/B; H4FB; H4/J; H4FJ; H4/C; H4FC; H4/H; H4FH; H4/M; H4FM; H4/E; H4FE; H4/D; H4FD; H4/K; H4FK; H4/N; H4F2; H4FN; HIST2H4; H4/O; H4FO; Histone H4
Entrez Gene (Human):
121504;
Entrez Gene (Mouse):
100041230;
Entrez Gene (Rat):
100360950;
SwissProt (Human):
P62805;
SwissProt (Mouse):
P62806;
SwissProt (Rat):
P62804;
Storage/Stability:Shipped at 4°C. Upon delivery aliquot and store at -20°C for one year. Avoid freeze/thaw cycles.
-
Western blot analysis of Histone H4 (Acetyl-K12) expression in Hela TSA-treated (A) whole cell lysates. (Predicted band size: 11 kD; Observed band size: 14 kD) -
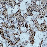
Immunohistochemical analysis of Histone H4 (Acetyl-K12) staining in human breast cancer formalin fixed paraffin embedded tissue section. The section was pre-treated using heat mediated antigen retrieval with sodium citrate buffer (pH 6.0). The section was then incubated with the antibody at room temperature and detected using an HRP conjugated compact polymer system. DAB was used as the chromogen. The section was then counterstained with haematoxylin and mounted with DPX.


Datasheet
MSDS