Description:Rabbit polyclonal antibody to GAPDHImmunogen:Recombinant protein corresponding to human GAPDH.Purification:The antibody was purified by immunogen affinity chromatography.Clonality:PolyclonalForm:Liquid in 0.42% Potassium phosphate, 0.87% Sodium chloride, pH 7.3, 0.2% BSA, 30% glycerol, and 0.01% sodium azide.Dilution:WB (1/3000 - 1/10000), IH (1/50 - 1/100)Gene Symbol:GAPDHAlternative Names:GAPD; Glyceraldehyde-3-phosphate dehydrogenase; GAPDH; Peptidyl-cysteine S-nitrosylase GAPDH
Entrez Gene (Human):
2597;
Entrez Gene (Mouse):
100042025;
Entrez Gene (Rat):
24383;
SwissProt (Human):
P04406;
SwissProt (Mouse):
P16858;
SwissProt (Rat):
P04797;
Storage/Stability:Shipped at 4°C. Upon delivery aliquot and store at -20°C for one year. Avoid freeze/thaw cycles.
-
Western blot analysis of GAPDH expression in Hela (A) whole cell lysates. (Predicted band size: 36 kD; Observed band size: 37 kD) -
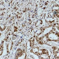
Immunohistochemical analysis of GAPDH staining in human breast cancer formalin fixed paraffin embedded tissue section. The section was pre-treated using heat mediated antigen retrieval with sodium citrate buffer (pH 6.0). The section was then incubated with the antibody at room temperature and detected using an HRP conjugated compact polymer system. DAB was used as the chromogen. The section was then counterstained with haematoxylin and mounted with DPX.
Exosomal miRNA-155-5p from M1-polarized macrophages suppresses angiogenesis by targeting GDF6 to interrupt diabetic wound healing


Datasheet
MSDS