Description:Rabbit polyclonal antibody to LDOC1LImmunogen:KLH-conjugated synthetic peptide encompassing a sequence within the center region of human LDOC1L. The exact sequence is proprietary.Purification:The antibody was purified by immunogen affinity chromatography.Clonality:PolyclonalForm:Liquid in 0.42% Potassium phosphate, 0.87% Sodium chloride, pH 7.3, 30% glycerol, and 0.01% sodium azide.Dilution:WB (1/500 - 1/1000), IH (1/50 - 1/200)Gene Symbol:LDOC1LAlternative Names:MAR6; MART6; Protein LDOC1L; Leucine zipper protein down-regulated in cancer cells-like; Mammalian retrotransposon-derived protein 6
Entrez Gene (Human):
84247;
Entrez Gene (Mouse):
223732;
SwissProt (Human):
Q6ICC9;
SwissProt (Mouse):
Q505G4;
Storage/Stability:Shipped at 4°C. Upon delivery aliquot and store at -20°C for one year. Avoid freeze/thaw cycles.
-
Western blot analysis of LDOC1L expression in HEK293T (A), rat kidney (B), mouse brain (C) whole cell lysates. (Predicted band size: 26 kD; Observed band size: 26 kD) -
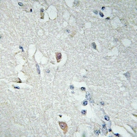
Immunohistochemical analysis of LDOC1L staining in human brain formalin fixed paraffin embedded tissue section. The section was pre-treated using heat mediated antigen retrieval with sodium citrate buffer (pH 6.0). The section was then incubated with the antibody at room temperature and detected using an HRP conjugated compact polymer system. DAB was used as the chromogen. The section was then counterstained with haematoxylin and mounted with DPX.


Datasheet
MSDS