Welcome to Cohesion Biosciences
Home> Products > Primary Antibody
CPA6253
  • Western blot analysis of CCP3 expression in PC3 (A), A2780 (B), CT26 (C) whole cell lysates. (Predicted band size: 116 kD; Observed band size: 116 kD)
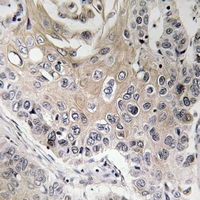
  • Immunohistochemical analysis of CCP3 staining in human lung cancer formalin fixed paraffin embedded tissue section. The section was pre-treated using heat mediated antigen retrieval with sodium citrate buffer (pH 6.0). The section was then incubated with the antibody at room temperature and detected using an HRP conjugated compact polymer system. DAB was used as the chromogen. The section was then counterstained with haematoxylin and mounted with DPX.
Product Name:Anti-CCP3 Antibody
Cat No:CPA6253
Source:Rabbit
Reactivity:H, M
Applications:WB, IH
*Application Key:
H - Human, M - Mouse, R - Rat, B - Bovine, C - Chicken, D - Dog, G - Goat, Mk - Monkey, P - Pig, Rb - Rabbit, S - Sheep, Z - Zebrafish
*Species Reactivity Key:
E- ELISA, WB - Western blot, IH - Immunohistochemistry, IF - Immunofluorescence, FC - Flow cytometry, IC - Immunocytochemistry, IP - Immunoprecipitation, ChIP - Chromatin Immunoprecipitation, EMSA - Electrophoretic Mobility Shift Assay, BL - Blocking, SE - Sandwich ELISA, CBE - Cell-based ELISA, RNAi - RNA interference
Size
Price(USD)
200 μl
350
100 μl
220
30 μl
110
50 μl
150
Add to cart Ship in 3 days My orders
Description:Rabbit polyclonal antibody to CCP3
Immunogen:KLH-conjugated synthetic peptide encompassing a sequence within the center region of human CCP3. The exact sequence is proprietary.
Purification:The antibody was purified by immunogen affinity chromatography.
Clonality:Polyclonal
Form:Liquid in 0.42% Potassium phosphate, 0.87% Sodium chloride, pH 7.3, 30% glycerol, and 0.01% sodium azide.
Dilution:WB (1/500 - 1/1000), IH (1/50 - 1/200)
Gene Symbol:AGBL3
Alternative Names:CCP3; Cytosolic carboxypeptidase 3; ATP/GTP-binding protein-like 3
Entrez Gene (Human): 340351;
Entrez Gene (Mouse): 76223;
SwissProt (Human): Q8NEM8;
SwissProt (Mouse): Q8CDP0;
Storage/Stability:Shipped at 4°C. Upon delivery aliquot and store at -20°C for one year. Avoid freeze/thaw cycles.
  • Western blot analysis of CCP3 expression in PC3 (A), A2780 (B), CT26 (C) whole cell lysates. (Predicted band size: 116 kD; Observed band size: 116 kD)
  • Immunohistochemical analysis of CCP3 staining in human lung cancer formalin fixed paraffin embedded tissue section. The section was pre-treated using heat mediated antigen retrieval with sodium citrate buffer (pH 6.0). The section was then incubated with the antibody at room temperature and detected using an HRP conjugated compact polymer system. DAB was used as the chromogen. The section was then counterstained with haematoxylin and mounted with DPX.
COHESION BIOSCIENCES LIMITED
Copyright © 2022 Cohesion Biosciences. All Rights Reserved