Description:Rabbit polyclonal antibody to BMAL1 (Acetyl-K538)Immunogen:KLH-conjugated synthetic acetylated peptide corresponding to residues surrounding K538 of human BMAL1 protein. The exact sequence is proprietary.Purification:The antibody was purified by immunogen affinity chromatography.Clonality:PolyclonalForm:Liquid in 0.42% Potassium phosphate, 0.87% Sodium chloride, pH 7.3, 30% glycerol, and 0.01% sodium azide.Dilution:WB (1/500 - 1/1000), IH (1/50 - 1/100)Gene Symbol:ARNTLAlternative Names:BHLHE5; BMAL1; MOP3; PASD3; Aryl hydrocarbon receptor nuclear translocator-like protein 1; Basic-helix-loop-helix-PAS protein MOP3; Brain and muscle ARNT-like 1; Class E basic helix-loop-helix protein 5; bHLHe5; Member of PAS protein 3; PAS domain-containing protein 3; bHLH-PAS protein JAP3
Entrez Gene (Human):
406;
Entrez Gene (Mouse):
11865;
Entrez Gene (Rat):
29657;
SwissProt (Human):
O00327;
SwissProt (Mouse):
Q9WTL8;
SwissProt (Rat):
Q9EPW1;
Storage/Stability:Shipped at 4°C. Upon delivery aliquot and store at -20°C for one year. Avoid freeze/thaw cycles.
-
Western blot analysis of BMAL1 (Acetyl-K538) expression in MG63 (A), U87MG (B) whole cell lysates. (Predicted band size: 68 kD; Observed band size: 78 kD) -
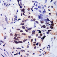
Immunohistochemical analysis of BMAL1 (Acetyl-K538) staining in human stomach cancer formalin fixed paraffin embedded tissue section. The section was pre-treated using heat mediated antigen retrieval with sodium citrate buffer (pH 6.0). The section was then incubated with the antibody at room temperature and detected using an HRP conjugated compact polymer system. DAB was used as the chromogen. The section was then counterstained with haematoxylin and mounted with DPX.


Datasheet
MSDS