Description:Rabbit polyclonal antibody to Cytochrome P450 21A2Immunogen:KLH-conjugated synthetic peptide encompassing a sequence within the center region of human Cytochrome P450 21A2. The exact sequence is proprietary.Purification:The antibody was purified by immunogen affinity chromatography.Clonality:PolyclonalForm:Liquid in 0.42% Potassium phosphate, 0.87% Sodium chloride, pH 7.3, 30% glycerol, and 0.01% sodium azide.Dilution:WB (1/500 - 1/1000), IH (1/100 - 1/200)Gene Symbol:CYP21A2Alternative Names:CYP21; CYP21B; Steroid 21-hydroxylase; 21-OHase; Cytochrome P-450c21; Cytochrome P450 21; Cytochrome P450 XXI; Cytochrome P450-C21; Cytochrome P450-C21B
Entrez Gene (Human):
1589;
SwissProt (Human):
P08686;
Storage/Stability:Shipped at 4°C. Upon delivery aliquot and store at -20°C for one year. Avoid freeze/thaw cycles.
-
Western blot analysis of Cytochrome P450 21A2 expression in Jurkat (A) whole cell lysates. (Predicted band size: 55 kD; Observed band size: 55 kD) -
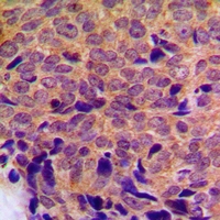
Immunohistochemical analysis of Cytochrome P450 21A2 staining in human breast cancer formalin fixed paraffin embedded tissue section. The section was pre-treated using heat mediated antigen retrieval with sodium citrate buffer (pH 6.0). The section was then incubated with the antibody at room temperature and detected using an HRP conjugated compact polymer system. DAB was used as the chromogen. The section was then counterstained with haematoxylin and mounted with DPX.


Datasheet
MSDS