Description:Rabbit polyclonal antibody to SHIP2Immunogen:KLH-conjugated synthetic peptide encompassing a sequence within the center region of human SHIP2. The exact sequence is proprietary.Purification:The antibody was purified by immunogen affinity chromatography.Clonality:PolyclonalForm:Liquid in 0.42% Potassium phosphate, 0.87% Sodium chloride, pH 7.3, 30% glycerol, and 0.01% sodium azide.Dilution:WB (1/500 - 1/1000), IH (1/50 - 1/100)Gene Symbol:INPPL1Alternative Names:SHIP2; Phosphatidylinositol 3,4,5-trisphosphate 5-phosphatase 2; Inositol polyphosphate phosphatase-like protein 1; INPPL-1; Protein 51C; SH2 domain-containing inositol 5'-phosphatase 2; SH2 domain-containing inositol phosphatase 2; SHIP-2
Entrez Gene (Human):
3636;
Entrez Gene (Mouse):
16332;
Entrez Gene (Rat):
65038;
SwissProt (Human):
O15357;
SwissProt (Mouse):
Q6P549;
SwissProt (Rat):
Q9WVR3;
Storage/Stability:Shipped at 4°C. Upon delivery aliquot and store at -20°C for one year. Avoid freeze/thaw cycles.
-
Western blot analysis of SHIP2 expression in K562 (A), Hela (B) whole cell lysates. (Predicted band size: 138 kD; Observed band size: 138; 113 kD) -
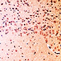
Immunohistochemical analysis of SHIP2 staining in mouse brain formalin fixed paraffin embedded tissue section. The section was pre-treated using heat mediated antigen retrieval with sodium citrate buffer (pH 6.0). The section was then incubated with the antibody at room temperature and detected using an HRP conjugated compact polymer system. DAB was used as the chromogen. The section was then counterstained with haematoxylin and mounted with DPX.


Datasheet
MSDS