Description:Rabbit polyclonal antibody to WIPF1Immunogen:KLH-conjugated synthetic peptide encompassing a sequence within the C-term region of human WIPF1. The exact sequence is proprietary.Purification:The antibody was purified by immunogen affinity chromatography.Clonality:PolyclonalForm:Liquid in 0.42% Potassium phosphate, 0.87% Sodium chloride, pH 7.3, 30% glycerol, and 0.01% sodium azide.Dilution:WB (1/500 - 1/1000), IH (1/100 - 1/200)Gene Symbol:WIPF1Alternative Names:WASPIP; WIP; WAS/WASL-interacting protein family member 1; Protein PRPL-2; Wiskott-Aldrich syndrome protein-interacting protein; WASP-interacting protein
Entrez Gene (Human):
7456;
Entrez Gene (Mouse):
215280;
Entrez Gene (Rat):
117538;
SwissProt (Human):
O43516;
SwissProt (Mouse):
Q8K1I7;
SwissProt (Rat):
Q6IN36;
Storage/Stability:Shipped at 4°C. Upon delivery aliquot and store at -20°C for one year. Avoid freeze/thaw cycles.
-
Western blot analysis of WIPF1 expression in HL60 (A) whole cell lysates. (Predicted band size: 51 kD; Observed band size: 51 kD) -
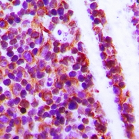
Immunohistochemical analysis of WIPF1 staining in human tonsil formalin fixed paraffin embedded tissue section. The section was pre-treated using heat mediated antigen retrieval with sodium citrate buffer (pH 6.0). The section was then incubated with the antibody at room temperature and detected using an HRP conjugated compact polymer system. DAB was used as the chromogen. The section was then counterstained with haematoxylin and mounted with DPX.


Datasheet
MSDS