Description:Rabbit polyclonal antibody to PEX10Immunogen:KLH-conjugated synthetic peptide encompassing a sequence within the center region of human PEX10. The exact sequence is proprietary.Purification:The antibody was purified by immunogen affinity chromatography.Clonality:PolyclonalForm:Liquid in 0.42% Potassium phosphate, 0.87% Sodium chloride, pH 7.3, 30% glycerol, and 0.01% sodium azide.Dilution:WB (1/500 - 1/1000), IH (1/100 - 1/200)Gene Symbol:PEX10Alternative Names:RNF69; Peroxisome biogenesis factor 10; Peroxin-10; Peroxisomal biogenesis factor 10; Peroxisome assembly protein 10; RING finger protein 69
Entrez Gene (Human):
5192;
SwissProt (Human):
O60683;
Storage/Stability:Shipped at 4°C. Upon delivery aliquot and store at -20°C for one year. Avoid freeze/thaw cycles.
-
Western blot analysis of PEX10 expression in MCF7 (A), HepG2 (B) whole cell lysates. (Predicted band size: 37 kD; Observed band size: 42 kD) -
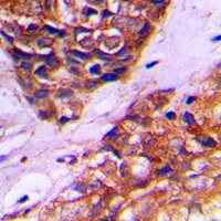
Immunohistochemical analysis of PEX10 staining in human prostate cancer formalin fixed paraffin embedded tissue section. The section was pre-treated using heat mediated antigen retrieval with sodium citrate buffer (pH 6.0). The section was then incubated with the antibody at room temperature and detected using an HRP conjugated compact polymer system. DAB was used as the chromogen. The section was then counterstained with haematoxylin and mounted with DPX.


Datasheet
MSDS