Description:Rabbit polyclonal antibody to PP15Immunogen:KLH-conjugated synthetic peptide encompassing a sequence within the center region of human PP15. The exact sequence is proprietary.Purification:The antibody was purified by immunogen affinity chromatography.Clonality:PolyclonalForm:Liquid in 0.42% Potassium phosphate, 0.87% Sodium chloride, pH 7.3, 30% glycerol, and 0.01% sodium azide.Dilution:WB (1/500 - 1/1000), IH (1/100 - 1/200)Gene Symbol:NUTF2Alternative Names:NTF2; Nuclear transport factor 2; NTF-2; Placental protein 15; PP15
Entrez Gene (Human):
10204;
Entrez Gene (Mouse):
621832;
68051;
Entrez Gene (Rat):
291981;
SwissProt (Human):
P61970;
SwissProt (Mouse):
P61971;
SwissProt (Rat):
P61972;
Storage/Stability:Shipped at 4°C. Upon delivery aliquot and store at -20°C for one year. Avoid freeze/thaw cycles.
-
Western blot analysis of PP15 expression in HepG2 (A), MCF7 (B), CT26 (C), C6 (D) whole cell lysates. (Predicted band size: 14 kD; Observed band size: 14; 28; 42 kD) -
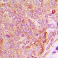
Immunohistochemical analysis of PP15 staining in human breast cancer formalin fixed paraffin embedded tissue section. The section was pre-treated using heat mediated antigen retrieval with sodium citrate buffer (pH 6.0). The section was then incubated with the antibody at room temperature and detected using an HRP conjugated compact polymer system. DAB was used as the chromogen. The section was then counterstained with haematoxylin and mounted with DPX. -
Western blot analysis of PP15 expression in MOLT4 (A) whole cell lysates.


Datasheet
MSDS