Description:Rabbit polyclonal antibody to GBP4Immunogen:KLH-conjugated synthetic peptide encompassing a sequence within the C-term region of human GBP4. The exact sequence is proprietary.Purification:The antibody was purified by immunogen affinity chromatography.Clonality:PolyclonalForm:Liquid in 0.42% Potassium phosphate, 0.87% Sodium chloride, pH 7.3, 30% glycerol, and 0.01% sodium azide.Dilution:WB (1/500 - 1/1000), IH (1/100 - 1/200)Gene Symbol:GBP4Alternative Names:Guanylate-binding protein 4; GTP-binding protein 4; GBP-4; Guanine nucleotide-binding protein 4
Entrez Gene (Human):
115361;
Entrez Gene (Mouse):
55932;
SwissProt (Human):
Q96PP9;
SwissProt (Mouse):
Q61107;
Storage/Stability:Shipped at 4°C. Upon delivery aliquot and store at -20°C for one year. Avoid freeze/thaw cycles.
-
Western blot analysis of GBP4 expression in PC12 (A), AML12 (B), HCT116 (C), H1792 (D) whole cell lysates. (Predicted band size: 73 kD; Observed band size: 73 kD) -
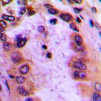
Immunohistochemical analysis of GBP4 staining in human lung cancer formalin fixed paraffin embedded tissue section. The section was pre-treated using heat mediated antigen retrieval with sodium citrate buffer (pH 6.0). The section was then incubated with the antibody at room temperature and detected using an HRP conjugated compact polymer system. DAB was used as the chromogen. The section was then counterstained with haematoxylin and mounted with DPX.


Datasheet
MSDS