Description:Rabbit polyclonal antibody to FUBP3Immunogen:KLH-conjugated synthetic peptide encompassing a sequence within the center region of human FUBP3. The exact sequence is proprietary.Purification:The antibody was purified by immunogen affinity chromatography.Clonality:PolyclonalForm:Liquid in 0.42% Potassium phosphate, 0.87% Sodium chloride, pH 7.3, 30% glycerol, and 0.01% sodium azide.Dilution:WB (1/500 - 1/1000), IH (1/100 - 1/200)Gene Symbol:FUBP3Alternative Names:FBP3; Far upstream element-binding protein 3; FUSE-binding protein 3
Entrez Gene (Human):
8939;
SwissProt (Human):
Q96I24;
Storage/Stability:Shipped at 4°C. Upon delivery aliquot and store at -20°C for one year. Avoid freeze/thaw cycles.
-
Western blot analysis of FUBP3 expression in HEK293T (A), Hela (B) whole cell lysates. (Predicted band size: 61 kD; Observed band size: 70 kD) -
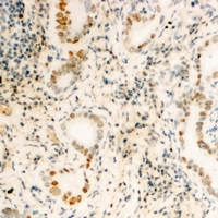
Immunohistochemical analysis of FUBP3 staining in human kidney formalin fixed paraffin embedded tissue section. The section was pre-treated using heat mediated antigen retrieval with sodium citrate buffer (pH 6.0). The section was then incubated with the antibody at room temperature and detected using an HRP conjugated compact polymer system. DAB was used as the chromogen. The section was then counterstained with haematoxylin and mounted with DPX.


Datasheet
MSDS