Description:Rabbit polyclonal antibody to Complement C1SImmunogen:KLH-conjugated synthetic peptide encompassing a sequence within the C-term region of human Complement C1S. The exact sequence is proprietary.Purification:The antibody was purified by immunogen affinity chromatography.Clonality:PolyclonalForm:Liquid in 0.42% Potassium phosphate, 0.87% Sodium chloride, pH 7.3, 30% glycerol, and 0.01% sodium azide.Dilution:WB (1/500 - 1/1000), IH (1/100 - 1/200)Gene Symbol:C1SAlternative Names:Complement C1s subcomponent; C1 esterase; Complement component 1 subcomponent s
Entrez Gene (Human):
716;
SwissProt (Human):
P09871;
Storage/Stability:Shipped at 4°C. Upon delivery aliquot and store at -20°C for one year. Avoid freeze/thaw cycles.
-
Western blot analysis of Complement C1S expression in CT26 (A), PC3 (B), Hela (C) whole cell lysates. (Predicted band size: 76 kD; Observed band size: 88 kD) -
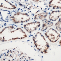
Immunohistochemical analysis of Complement C1S staining in human kidney formalin fixed paraffin embedded tissue section. The section was pre-treated using heat mediated antigen retrieval with sodium citrate buffer (pH 6.0). The section was then incubated with the antibody at room temperature and detected using an HRP conjugated compact polymer system. DAB was used as the chromogen. The section was then counterstained with haematoxylin and mounted with DPX.


Datasheet
MSDS