Description:Rabbit polyclonal antibody to CEP78Immunogen:KLH-conjugated synthetic peptide encompassing a sequence within the center region of human CEP78. The exact sequence is proprietary.Purification:The antibody was purified by immunogen affinity chromatography.Clonality:PolyclonalForm:Liquid in 0.42% Potassium phosphate, 0.87% Sodium chloride, pH 7.3, 30% glycerol, and 0.01% sodium azide.Dilution:WB (1/500 - 1/1000), IH (1/100 - 1/200)Gene Symbol:CEP78Alternative Names:C9orf81; Centrosomal protein of 78 kDa; Cep78
Entrez Gene (Human):
84131;
SwissProt (Human):
Q5JTW2;
Storage/Stability:Shipped at 4°C. Upon delivery aliquot and store at -20°C for one year. Avoid freeze/thaw cycles.
-
Western blot analysis of CEP78 expression in COS7 (A), HEK293T (B), CT26 (C), H9C2 (D) whole cell lysates. (Predicted band size: 76 kD; Observed band size: 78 kD) -
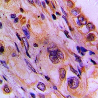
Immunohistochemical analysis of CEP78 staining in human lung cancer formalin fixed paraffin embedded tissue section. The section was pre-treated using heat mediated antigen retrieval with sodium citrate buffer (pH 6.0). The section was then incubated with the antibody at room temperature and detected using an HRP conjugated compact polymer system. DAB was used as the chromogen. The section was then counterstained with haematoxylin and mounted with DPX.


Datasheet
MSDS