Description:Rabbit polyclonal antibody to CNTROBImmunogen:KLH-conjugated synthetic peptide encompassing a sequence within the center region of human CNTROB. The exact sequence is proprietary.Purification:The antibody was purified by immunogen affinity chromatography.Clonality:PolyclonalForm:Liquid in 0.42% Potassium phosphate, 0.87% Sodium chloride, pH 7.3, 30% glycerol, and 0.01% sodium azide.Dilution:WB (1/500 - 1/1000), IH (1/100 - 1/200)Gene Symbol:CNTROBAlternative Names:LIP8; Centrobin; Centrosomal BRCA2-interacting protein; LYST-interacting protein 8
Entrez Gene (Human):
116840;
SwissProt (Human):
Q8N137;
Storage/Stability:Shipped at 4°C. Upon delivery aliquot and store at -20°C for one year. Avoid freeze/thaw cycles.
-
Western blot analysis of CNTROB expression in HepG2 (A), HUVEC (B) whole cell lysates. (Predicted band size: 101 kD; Observed band size: 100 kD) -
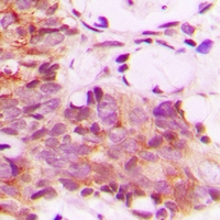
Immunohistochemical analysis of CNTROB staining in human breast cancer formalin fixed paraffin embedded tissue section. The section was pre-treated using heat mediated antigen retrieval with sodium citrate buffer (pH 6.0). The section was then incubated with the antibody at room temperature and detected using an HRP conjugated compact polymer system. DAB was used as the chromogen. The section was then counterstained with haematoxylin and mounted with DPX.


Datasheet
MSDS