Description:Rabbit polyclonal antibody to ATP5C1Immunogen:KLH-conjugated synthetic peptide encompassing a sequence within the center region of human ATP5C1. The exact sequence is proprietary.Purification:The antibody was purified by immunogen affinity chromatography.Clonality:PolyclonalForm:Liquid in 0.42% Potassium phosphate, 0.87% Sodium chloride, pH 7.3, 30% glycerol, and 0.01% sodium azide.Dilution:WB (1/500 - 1/1000), IH (1/100 - 1/200)Gene Symbol:ATP5C1Alternative Names:ATP5C; ATP5CL1; ATP synthase subunit gamma mitochondrial; F-ATPase gamma subunit
Entrez Gene (Human):
509;
SwissProt (Human):
P36542;
Storage/Stability:Shipped at 4°C. Upon delivery aliquot and store at -20°C for one year. Avoid freeze/thaw cycles.
-
Western blot analysis of ATP5C1 expression in HEK293T (A), Hela (B), DLD (C), mouse liver (D), mouse kidney (E), rat liver (F), rat kidney (G) whole cell lysates. (Predicted band size: 32 kD; Observed band size: 33 kD) -
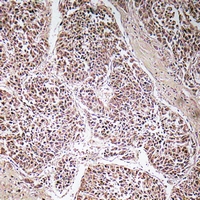
Immunohistochemical analysis of ATP5C1 staining in human liver cancer formalin fixed paraffin embedded tissue section. The section was pre-treated using heat mediated antigen retrieval with sodium citrate buffer (pH 6.0). The section was then incubated with the antibody at room temperature and detected using an HRP conjugated compact polymer system. DAB was used as the chromogen. The section was then counterstained with haematoxylin and mounted with DPX.


Datasheet
MSDS