Description:Rabbit polyclonal antibody to ATP5IImmunogen:KLH-conjugated synthetic peptide encompassing a sequence within the center region of human ATP5I. The exact sequence is proprietary.Purification:The antibody was purified by immunogen affinity chromatography.Clonality:PolyclonalForm:Liquid in 0.42% Potassium phosphate, 0.87% Sodium chloride, pH 7.3, 30% glycerol, and 0.01% sodium azide.Dilution:WB (1/500 - 1/1000), IH (1/100 - 1/200)Gene Symbol:ATP5IAlternative Names:ATP5K; ATP synthase subunit e mitochondrial; ATPase subunit e
Entrez Gene (Human):
521;
SwissProt (Human):
P56385;
Storage/Stability:Shipped at 4°C. Upon delivery aliquot and store at -20°C for one year. Avoid freeze/thaw cycles.
-
Western blot analysis of ATP5I expression in mouse liver (A) whole cell lysates. (Predicted band size: 7 kD; Observed band size: 8 kD) -
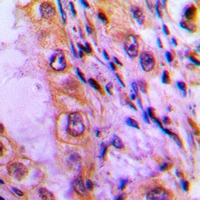
Immunohistochemical analysis of ATP5I staining in human lung cancer formalin fixed paraffin embedded tissue section. The section was pre-treated using heat mediated antigen retrieval with sodium citrate buffer (pH 6.0). The section was then incubated with the antibody at room temperature and detected using an HRP conjugated compact polymer system. DAB was used as the chromogen. The section was then counterstained with haematoxylin and mounted with DPX.


Datasheet
MSDS