Description:Rabbit polyclonal antibody to AKR1C2Immunogen:KLH-conjugated synthetic peptide encompassing a sequence within the center region of human AKR1C2. The exact sequence is proprietary.Purification:The antibody was purified by immunogen affinity chromatography.Clonality:PolyclonalForm:Liquid in 0.42% Potassium phosphate, 0.87% Sodium chloride, pH 7.3, 30% glycerol, and 0.01% sodium azide.Dilution:WB (1/500 - 1/1000), IH (1/100 - 1/200)Gene Symbol:AKR1C2Alternative Names:DDH2; Aldo-keto reductase family 1 member C2; 3-alpha-HSD3; Chlordecone reductase homolog HAKRD; Dihydrodiol dehydrogenase 2; DD-2; DD2; Dihydrodiol dehydrogenase/bile acid-binding protein; DD/BABP; Trans-1,2-dihydrobenzene-1,2-diol dehydrogenase; Type III 3-alpha-hydroxysteroid dehydrogenase
Entrez Gene (Human):
1646;
SwissProt (Human):
P52895;
Storage/Stability:Shipped at 4°C. Upon delivery aliquot and store at -20°C for one year. Avoid freeze/thaw cycles.
-
Western blot analysis of AKR1C2 expression in mouse liver (A) whole cell lysates. (Predicted band size: 36 kD; Observed band size: 37 kD) -
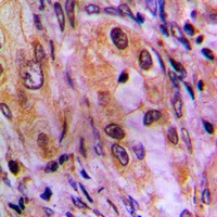
Immunohistochemical analysis of AKR1C2 staining in human lung cancer formalin fixed paraffin embedded tissue section. The section was pre-treated using heat mediated antigen retrieval with sodium citrate buffer (pH 6.0). The section was then incubated with the antibody at room temperature and detected using an HRP conjugated compact polymer system. DAB was used as the chromogen. The section was then counterstained with haematoxylin and mounted with DPX.


Datasheet
MSDS