Description:Rabbit polyclonal antibody to ACSS1Immunogen:KLH-conjugated synthetic peptide encompassing a sequence within the C-term region of human ACSS1. The exact sequence is proprietary.Purification:The antibody was purified by immunogen affinity chromatography.Clonality:PolyclonalForm:Liquid in 0.42% Potassium phosphate, 0.87% Sodium chloride, pH 7.3, 30% glycerol, and 0.01% sodium azide.Dilution:WB (1/500 - 1/1000), IH (1/100 - 1/200)Gene Symbol:ACSS1Alternative Names:ACAS2L; KIAA1846; Acetyl-coenzyme A synthetase 2-like mitochondrial; Acetate--CoA ligase 2; Acetyl-CoA synthetase 2; AceCS2; Acyl-CoA synthetase short-chain family member 1
Entrez Gene (Human):
84532;
Entrez Gene (Mouse):
68738;
SwissProt (Human):
Q9NUB1;
SwissProt (Mouse):
Q99NB1;
Storage/Stability:Shipped at 4°C. Upon delivery aliquot and store at -20°C for one year. Avoid freeze/thaw cycles.
-
Western blot analysis of ACSS1 expression in H446 (A), mouse testis (B), mouse kidney (C) whole cell lysates. (Predicted band size: 74 kD; Observed band size: 75 kD) -
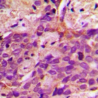
Immunohistochemical analysis of ACSS1 staining in human prostate cancer formalin fixed paraffin embedded tissue section. The section was pre-treated using heat mediated antigen retrieval with sodium citrate buffer (pH 6.0). The section was then incubated with the antibody at room temperature and detected using an HRP conjugated compact polymer system. DAB was used as the chromogen. The section was then counterstained with haematoxylin and mounted with DPX.


Datasheet
MSDS