Description:Rabbit polyclonal antibody to RPS13Immunogen:KLH-conjugated synthetic peptide encompassing a sequence within the center region of human RPS13. The exact sequence is proprietary.Purification:The antibody was purified by immunogen affinity chromatography.Clonality:PolyclonalForm:Liquid in 0.42% Potassium phosphate, 0.87% Sodium chloride, pH 7.3, 30% glycerol, and 0.01% sodium azide.Dilution:WB (1/500 - 1/1000), IH (1/100 - 1/200)Gene Symbol:RPS13Alternative Names:40S ribosomal protein S13
Entrez Gene (Human):
6207;
Entrez Gene (Mouse):
102642137;
68052;
Entrez Gene (Rat):
161477;
684988;
SwissProt (Human):
P62277;
SwissProt (Mouse):
P62301;
SwissProt (Rat):
P62278;
Storage/Stability:Shipped at 4°C. Upon delivery aliquot and store at -20°C for one year. Avoid freeze/thaw cycles.
-
Western blot analysis of RPS13 expression in HEK293T (A), Hela (B), mouse kidney (C), mouse lung (D), rat kidney (E), rat lung (F) whole cell lysates. (Predicted band size: 17 kD; Observed band size: 17 kD) -
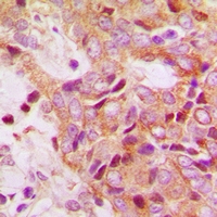
Immunohistochemical analysis of RPS13 staining in human breast cancer formalin fixed paraffin embedded tissue section. The section was pre-treated using heat mediated antigen retrieval with sodium citrate buffer (pH 6.0). The section was then incubated with the antibody at room temperature and detected using an HRP conjugated compact polymer system. DAB was used as the chromogen. The section was then counterstained with haematoxylin and mounted with DPX.


Datasheet
MSDS