Description:Rabbit polyclonal antibody to RPS12Immunogen:KLH-conjugated synthetic peptide encompassing a sequence within the C-term region of human RPS12. The exact sequence is proprietary.Purification:The antibody was purified by immunogen affinity chromatography.Clonality:PolyclonalForm:Liquid in 0.42% Potassium phosphate, 0.87% Sodium chloride, pH 7.3, 30% glycerol, and 0.01% sodium azide.Dilution:WB (1/500 - 1/1000), IH (1/100 - 1/200), IF/IC (1/100 - 1/500)Gene Symbol:RPS12Alternative Names:40S ribosomal protein S12
Entrez Gene (Human):
6206;
SwissProt (Human):
P25398;
SwissProt (Mouse):
P63323;
SwissProt (Rat):
P63324;
Storage/Stability:Shipped at 4°C. Upon delivery aliquot and store at -20°C for one year. Avoid freeze/thaw cycles.
-
Western blot analysis of RPS12 expression in MCF7 (A) whole cell lysates. (Predicted band size: 14 kD; Observed band size: 15 kD) -
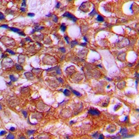
Immunohistochemical analysis of RPS12 staining in human prostate cancer formalin fixed paraffin embedded tissue section. The section was pre-treated using heat mediated antigen retrieval with sodium citrate buffer (pH 6.0). The section was then incubated with the antibody at room temperature and detected using an HRP conjugated compact polymer system. DAB was used as the chromogen. The section was then counterstained with haematoxylin and mounted with DPX. -
Immunofluorescent analysis of RPS12 staining in Hela cells. Formalin-fixed cells were permeabilized with 0.1% Triton X-100 in TBS for 5-10 minutes and blocked with 3% BSA-PBS for 30 minutes at room temperature. Cells were probed with the primary antibody in 3% BSA-PBS and incubated overnight at 4 °C in a hidified chamber. Cells were washed with PBST and incubated with a DyLight 594-conjugated secondary antibody (red) in PBS at room temperature in the dark. DAPI was used to stain the cell nuclei (blue).


Datasheet
MSDS