Description:Rabbit polyclonal antibody to MRPL48Immunogen:KLH-conjugated synthetic peptide encompassing a sequence within the C-term region of human MRPL48. The exact sequence is proprietary.Purification:The antibody was purified by immunogen affinity chromatography.Clonality:PolyclonalForm:Liquid in 0.42% Potassium phosphate, 0.87% Sodium chloride, pH 7.3, 30% glycerol, and 0.01% sodium azide.Dilution:WB (1/500 - 1/1000), IH (1/100 - 1/200)Gene Symbol:MRPL48Alternative Names:39S ribosomal protein L48 mitochondrial; L48mt; MRP-L48
Entrez Gene (Human):
51642;
SwissProt (Human):
Q96GC5;
Storage/Stability:Shipped at 4°C. Upon delivery aliquot and store at -20°C for one year. Avoid freeze/thaw cycles.
-
Western blot analysis of MRPL48 expression in rat kidney (A) whole cell lysates. (Predicted band size: 23 kD; Observed band size: 23 kD) -
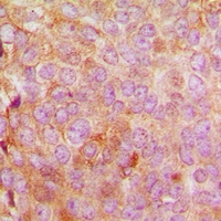
Immunohistochemical analysis of MRPL48 staining in human breast cancer formalin fixed paraffin embedded tissue section. The section was pre-treated using heat mediated antigen retrieval with sodium citrate buffer (pH 6.0). The section was then incubated with the antibody at room temperature and detected using an HRP conjugated compact polymer system. DAB was used as the chromogen. The section was then counterstained with haematoxylin and mounted with DPX.


Datasheet
MSDS