Description:Rabbit polyclonal antibody to MRPL41Immunogen:KLH-conjugated synthetic peptide encompassing a sequence within the center region of human MRPL41. The exact sequence is proprietary.Purification:The antibody was purified by immunogen affinity chromatography.Clonality:PolyclonalForm:Liquid in 0.42% Potassium phosphate, 0.87% Sodium chloride, pH 7.3, 30% glycerol, and 0.01% sodium azide.Dilution:WB (1/500 - 1/1000), IH (1/100 - 1/200)Gene Symbol:MRPL41Alternative Names:BMRP; MRPL27; RPML27; 39S ribosomal protein L41 mitochondrial; L41mt; MRP-L41; 39S ribosomal protein L27 homolog; Bcl-2-interacting mitochondrial ribosomal protein L41; Cell proliferation-inducing gene 3 protein; MRP-L27 homolog
Entrez Gene (Human):
64975;
SwissProt (Human):
Q8IXM3;
Storage/Stability:Shipped at 4°C. Upon delivery aliquot and store at -20°C for one year. Avoid freeze/thaw cycles.
-
Western blot analysis of MRPL41 expression in human liver (A) whole cell lysates. (Predicted band size: 15 kD; Observed band size: 15 kD) -
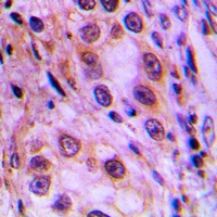
Immunohistochemical analysis of MRPL41 staining in human lung cancer formalin fixed paraffin embedded tissue section. The section was pre-treated using heat mediated antigen retrieval with sodium citrate buffer (pH 6.0). The section was then incubated with the antibody at room temperature and detected using an HRP conjugated compact polymer system. DAB was used as the chromogen. The section was then counterstained with haematoxylin and mounted with DPX.


Datasheet
MSDS