Description:Rabbit polyclonal antibody to PSMC3Immunogen:KLH-conjugated synthetic peptide encompassing a sequence within the center region of human PSMC3. The exact sequence is proprietary.Purification:The antibody was purified by immunogen affinity chromatography.Clonality:PolyclonalForm:Liquid in 0.42% Potassium phosphate, 0.87% Sodium chloride, pH 7.3, 30% glycerol, and 0.01% sodium azide.Dilution:WB (1/500 - 1/1000), IH (1/100 - 1/200)Gene Symbol:PSMC3Alternative Names:TBP1; 26S protease regulatory subunit 6A; 26S proteasome AAA-ATPase subunit RPT5; Proteasome 26S subunit ATPase 3; Proteasome subunit P50; Tat-binding protein 1; TBP-1
Entrez Gene (Human):
5702;
Entrez Gene (Mouse):
19182;
Entrez Gene (Rat):
29677;
SwissProt (Human):
P17980;
SwissProt (Mouse):
O88685;
SwissProt (Rat):
Q63569;
Storage/Stability:Shipped at 4°C. Upon delivery aliquot and store at -20°C for one year. Avoid freeze/thaw cycles.
-
Western blot analysis of PSMC3 expression in Hela (A), HepG2 (B), HT29 (C) whole cell lysates. (Predicted band size: 49 kD; Observed band size: 49 kD) -
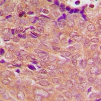
Immunohistochemical analysis of PSMC3 staining in human breast cancer formalin fixed paraffin embedded tissue section. The section was pre-treated using heat mediated antigen retrieval with sodium citrate buffer (pH 6.0). The section was then incubated with the antibody at room temperature and detected using an HRP conjugated compact polymer system. DAB was used as the chromogen. The section was then counterstained with haematoxylin and mounted with DPX.


Datasheet
MSDS