Description:Rabbit polyclonal antibody to Cone ArrestinImmunogen:KLH-conjugated synthetic peptide encompassing a sequence within the C-term region of human Cone Arrestin. The exact sequence is proprietary.Purification:The antibody was purified by immunogen affinity chromatography.Clonality:PolyclonalForm:Liquid in 0.42% Potassium phosphate, 0.87% Sodium chloride, pH 7.3, 30% glycerol, and 0.01% sodium azide.Dilution:WB (1/500 - 1/1000), IH (1/100 - 1/200), IF/IC (1/100 - 1/500)Gene Symbol:ARR3Alternative Names:ARRX; CAR; Arrestin-C; Cone arrestin; C-arrestin; cArr; Retinal cone arrestin-3; X-arrestin
Entrez Gene (Human):
407;
SwissProt (Human):
P36575;
Storage/Stability:Shipped at 4°C. Upon delivery aliquot and store at -20°C for one year. Avoid freeze/thaw cycles.
-
Western blot analysis of Cone Arrestin expression in HEK293T (A), PC3 (B), Hela (C) whole cell lysates. (Predicted band size: 42 kD; Observed band size: 47 kD) -
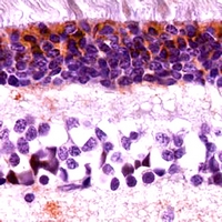
Immunohistochemical analysis of Cone Arrestin staining in human retina formalin fixed paraffin embedded tissue section. The section was pre-treated using heat mediated antigen retrieval with sodium citrate buffer (pH 6.0). The section was then incubated with the antibody at room temperature and detected using an HRP conjugated compact polymer system. DAB was used as the chromogen. The section was then counterstained with haematoxylin and mounted with DPX. -
Immunofluorescent analysis of Cone Arrestin staining in HepG2 cells. Formalin-fixed cells were permeabilized with 0.1% Triton X-100 in TBS for 5-10 minutes and blocked with 3% BSA-PBS for 30 minutes at room temperature. Cells were probed with the primary antibody in 3% BSA-PBS and incubated overnight at 4 °C in a hidified chamber. Cells were washed with PBST and incubated with a DyLight 594-conjugated secondary antibody (red) in PBS at room temperature in the dark. DAPI was used to stain the cell nuclei (blue).


Datasheet
MSDS