Description:Rabbit polyclonal antibody to GTF2IRD1Immunogen:KLH-conjugated synthetic peptide encompassing a sequence within the N-term region of human GTF2IRD1. The exact sequence is proprietary.Purification:The antibody was purified by immunogen affinity chromatography.Clonality:PolyclonalForm:Liquid in 0.42% Potassium phosphate, 0.87% Sodium chloride, pH 7.3, 30% glycerol, and 0.01% sodium azide.Dilution:WB (1/500 - 1/1000), IH (1/100 - 1/200), IP (1/10 - 1/100)Gene Symbol:GTF2IRD1Alternative Names:CREAM1; GTF3; MUSTRD1; RBAP2; WBSCR11; WBSCR12; General transcription factor II-I repeat domain-containing protein 1; GTF2I repeat domain-containing protein 1; General transcription factor III; MusTRD1/BEN; Muscle TFII-I repeat domain-containing protein 1; Slow-muscle-fiber enhancer-binding protein; USE B1-binding protein; Williams-Beuren syndrome chromosomal region 11 protein; Williams-Beuren syndrome chromosomal region 12 protein
Entrez Gene (Human):
9569;
Entrez Gene (Mouse):
57080;
SwissProt (Human):
Q9UHL9;
SwissProt (Mouse):
Q9JI57;
Storage/Stability:Shipped at 4°C. Upon delivery aliquot and store at -20°C for one year. Avoid freeze/thaw cycles.
-
Western blot analysis of GTF2IRD1 expression in DLD (A), A375 (B), A549 (C) whole cell lysates. (Predicted band size: 106 kD; Observed band size: 130 kD) -
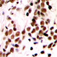
Immunohistochemical analysis of GTF2IRD1 staining in human breast cancer formalin fixed paraffin embedded tissue section. The section was pre-treated using heat mediated antigen retrieval with sodium citrate buffer (pH 6.0). The section was then incubated with the antibody at room temperature and detected using an HRP conjugated compact polymer system. DAB was used as the chromogen. The section was then counterstained with haematoxylin and mounted with DPX.


Datasheet
MSDS