Description:Rabbit polyclonal antibody to EG5 (Phospho-T926)Immunogen:KLH-conjugated synthetic phosphopeptide corresponding to residues surrounding T926 of human EG5 protein. The exact sequence is proprietary.Purification:The antibody was purified by immunogen affinity chromatography.Clonality:PolyclonalForm:Liquid in 0.42% Potassium phosphate, 0.87% Sodium chloride, pH 7.3, 30% glycerol, and 0.01% sodium azide.Dilution:WB (1/500 - 1/1000), IH (1/100 - 1/200), IF/IC (1/100 - 1/500)Gene Symbol:KIF11Alternative Names:EG5; KNSL1; TRIP5; Kinesin-like protein KIF11; Kinesin-like protein 1; Kinesin-like spindle protein HKSP; Kinesin-related motor protein Eg5; Thyroid receptor-interacting protein 5; TR-interacting protein 5; TRIP-5
Entrez Gene (Human):
3832;
SwissProt (Human):
P52732;
Storage/Stability:Shipped at 4°C. Upon delivery aliquot and store at -20°C for one year. Avoid freeze/thaw cycles.
-
Western blot analysis of EG5 (Phospho-T926) expression in HEK293T (A), Hela (B), H446 (C), mouse kidney (D), mouse testis (E), rat testis (F) whole cell lysates. (Predicted band size: 119 kD; Observed band size: 140 kD) -
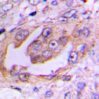
Immunohistochemical analysis of EG5 (Phospho-T926) staining in human lung cancer formalin fixed paraffin embedded tissue section. The section was pre-treated using heat mediated antigen retrieval with sodium citrate buffer (pH 6.0). The section was then incubated with the antibody at room temperature and detected using an HRP conjugated compact polymer system. DAB was used as the chromogen. The section was then counterstained with haematoxylin and mounted with DPX. -
Immunofluorescent analysis of EG5 (Phospho-T926) staining in HepG2 cells. Formalin-fixed cells were permeabilized with 0.1% Triton X-100 in TBS for 5-10 minutes and blocked with 3% BSA-PBS for 30 minutes at room temperature. Cells were probed with the primary antibody in 3% BSA-PBS and incubated overnight at 4 °C in a hidified chamber. Cells were washed with PBST and incubated with a DyLight 594-conjugated secondary antibody (red) in PBS at room temperature in the dark. DAPI was used to stain the cell nuclei (blue).


Datasheet
MSDS