Description:Rabbit polyclonal antibody to Frizzled 5Immunogen:KLH-conjugated synthetic peptide encompassing a sequence within the C-term region of human Frizzled 5. The exact sequence is proprietary.Purification:The antibody was purified by immunogen affinity chromatography.Clonality:PolyclonalForm:Liquid in 0.42% Potassium phosphate, 0.87% Sodium chloride, pH 7.3, 30% glycerol, and 0.01% sodium azide.Dilution:WB (1/500 - 1/1000), IH (1/50 - 1/100), IF/IC (1/50 - 1/200)Gene Symbol:FZD5Alternative Names:C2orf31; Frizzled-5; Fz-5; hFz5; FzE5
Entrez Gene (Human):
7855;
SwissProt (Human):
Q13467;
Storage/Stability:Shipped at 4°C. Upon delivery aliquot and store at -20°C for one year. Avoid freeze/thaw cycles.
-
Western blot analysis of Frizzled 5 expression in A375 (A), mouse kidney (B), rat kidney (C), rat heart (D) whole cell lysates. (Predicted band size: 64 kD; Observed band size: 65 kD) -
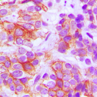
Immunohistochemical analysis of Frizzled 5 staining in human breast cancer formalin fixed paraffin embedded tissue section. The section was pre-treated using heat mediated antigen retrieval with sodium citrate buffer (pH 6.0). The section was then incubated with the antibody at room temperature and detected using an HRP conjugated compact polymer system. DAB was used as the chromogen. The section was then counterstained with haematoxylin and mounted with DPX. -
Immunofluorescent analysis of Frizzled 5 staining in A549 cells. Formalin-fixed cells were permeabilized with 0.1% Triton X-100 in TBS for 5-10 minutes and blocked with 3% BSA-PBS for 30 minutes at room temperature. Cells were probed with the primary antibody in 3% BSA-PBS and incubated overnight at 4 °C in a hidified chamber. Cells were washed with PBST and incubated with a AF594-conjugated secondary antibody (red) in PBS at room temperature in the dark.
Paneth cell marker expression in intestinal villi and colon crypts characterizes dietary induced risk for mouse sporadic intestinal cancer
Wingless homolog Wnt11 suppresses bacterial invasion and inflammation in intestinal epithelial cells
Spatio-temporal expression pattern of frizzled receptors after contusive spinal cord injury in adult rats
Bone marrow mesenchymal stem cell-derived Wnt5a inhibits leukemia cell progression in vitro via activation of the non-canonical Wnt signaling pathway


Datasheet
MSDS