Description:Rabbit polyclonal antibody to MZF1Immunogen:KLH-conjugated synthetic peptide encompassing a sequence within the N-term region of human MZF1. The exact sequence is proprietary.Purification:The antibody was purified by immunogen affinity chromatography.Clonality:PolyclonalForm:Liquid in 0.42% Potassium phosphate, 0.87% Sodium chloride, pH 7.3, 30% glycerol, and 0.01% sodium azide.Dilution:WB (1/500 - 1/1000), IH (1/50 - 1/100), ChIP (1/10 - 1/100)Gene Symbol:MZF1Alternative Names:MZF; ZNF42; ZSCAN6; Myeloid zinc finger 1; MZF-1; Zinc finger and SCAN domain-containing protein 6; Zinc finger protein 42
Entrez Gene (Human):
7593;
SwissProt (Human):
P28698;
Storage/Stability:Shipped at 4°C. Upon delivery aliquot and store at -20°C for one year. Avoid freeze/thaw cycles.
-
Western blot analysis of MZF1 expression in MCF7 (A), DLD (B), mouse muscle (C), rat muscle (D) whole cell lysates. (Predicted band size: 82 kD; Observed band size: 82; 54 kD) -
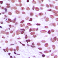
Immunohistochemical analysis of MZF1 staining in human breast cancer formalin fixed paraffin embedded tissue section. The section was pre-treated using heat mediated antigen retrieval with sodium citrate buffer (pH 6.0). The section was then incubated with the antibody at room temperature and detected using an HRP conjugated compact polymer system. DAB was used as the chromogen. The section was then counterstained with haematoxylin and mounted with DPX.


Datasheet
MSDS