Description:Rabbit polyclonal antibody to ZAP70 (Phospho-Y315)Immunogen:KLH-conjugated synthetic phosphopeptide corresponding to residues surrounding Y315 of human ZAP70 protein. The exact sequence is proprietary.Purification:The antibody was purified by immunogen affinity chromatography.Clonality:PolyclonalForm:Liquid in 0.42% Potassium phosphate, 0.87% Sodium chloride, pH 7.3, 30% glycerol, and 0.01% sodium azide.Dilution:WB (1/500 - 1/1000), IH (1/50 - 1/100)Gene Symbol:ZAP70Alternative Names:SRK; Tyrosine-protein kinase ZAP-70; 70 kDa zeta-chain associated protein; Syk-related tyrosine kinase
Entrez Gene (Human):
7535;
Entrez Gene (Mouse):
22637;
SwissProt (Human):
P43403;
SwissProt (Mouse):
P43404;
Storage/Stability:Shipped at 4°C. Upon delivery aliquot and store at -20°C for one year. Avoid freeze/thaw cycles.
-
Western blot analysis of ZAP70 (Phospho-Y315) expression in Jurkat H2O2-treated (A), HeLa H2O2-treated (B), Ramos lambda phosphatase-treated (C), mouse kidney (D), rat kidney (E) whole cell lysates. (Predicted band size: 69 kD; Observed band size: 70 kD) -
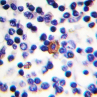
Immunohistochemical analysis of ZAP70 (Phospho-Y315) staining in human lymph node formalin fixed paraffin embedded tissue section. The section was pre-treated using heat mediated antigen retrieval with sodium citrate buffer (pH 6.0). The section was then incubated with the antibody at room temperature and detected using an HRP conjugated compact polymer system. DAB was used as the chromogen. The section was then counterstained with haematoxylin and mounted with DPX.


Datasheet
MSDS