Description:Rabbit polyclonal antibody to TIE2 (Phospho-Y1108)Immunogen:KLH-conjugated synthetic phosphopeptide corresponding to residues surrounding Y1108 of human TIE2 protein. The exact sequence is proprietary.Purification:The antibody was purified by immunogen affinity chromatography.Clonality:PolyclonalForm:Liquid in 0.42% Potassium phosphate, 0.87% Sodium chloride, pH 7.3, 30% glycerol, and 0.01% sodium azide.Dilution:WB (1/500 - 1/1000), IH (1/50 - 1/100), IF/IC (1/50 - 1/200)Gene Symbol:TEKAlternative Names:TIE2; VMCM; VMCM1; Angiopoietin-1 receptor; Endothelial tyrosine kinase; Tunica interna endothelial cell kinase; Tyrosine kinase with Ig and EGF homology domains-2; Tyrosine-protein kinase receptor TEK; Tyrosine-protein kinase receptor TIE-2; hTIE2; p140 TEK; CD202b
Entrez Gene (Human):
7010;
SwissProt (Human):
Q02763;
SwissProt (Mouse):
Q02858;
Storage/Stability:Shipped at 4°C. Upon delivery aliquot and store at -20°C for one year. Avoid freeze/thaw cycles.
-
Western blot analysis of TIE2 (Phospho-Y1108) expression in HEK293T (A), Hela (B) whole cell lysates. (Predicted band size: 125 kD; Observed band size: 160 kD) -
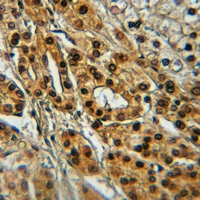
Immunohistochemical analysis of TIE2 (Phospho-Y1108) staining in human liver cancer formalin fixed paraffin embedded tissue section. The section was pre-treated using heat mediated antigen retrieval with sodium citrate buffer (pH 6.0). The section was then incubated with the antibody at room temperature and detected using an HRP conjugated compact polymer system. DAB was used as the chromogen. The section was then counterstained with haematoxylin and mounted with DPX. -
Immunofluorescent analysis of TIE2 (Phospho-Y1108) staining in HepG2 cells. Formalin-fixed cells were permeabilized with 0.1% Triton X-100 in TBS for 5-10 minutes and blocked with 3% BSA-PBS for 30 minutes at room temperature. Cells were probed with the primary antibody in 3% BSA-PBS and incubated overnight at 4 °C in a hidified chamber. Cells were washed with PBST and incubated with a AF594-conjugated secondary antibody (red) in PBS at room temperature in the dark.


Datasheet
MSDS