Welcome to Cohesion Biosciences
Home> Products > Primary Antibody
CQA4029
  • Western blot analysis of p16 INK4a expression in HeLa (A), MCF7 (B) whole cell lysates. (Predicted band size: 8; 11; 12; 13; 16; 17 kD; Observed band size: 17 kD)
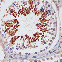
  • Immunohistochemical analysis of p16 INK4a staining in mouse testis formalin fixed paraffin embedded tissue section. The section was pre-treated using heat mediated antigen retrieval with sodium citrate buffer (pH 6.0). The section was then incubated with the antibody at room temperature and detected using an HRP conjugated compact polymer system. DAB was used as the chromogen. The section was then counterstained with haematoxylin and mounted with DPX.
  • Immunofluorescent analysis of p16 INK4a staining in A549 cells. Formalin-fixed cells were permeabilized with 0.1% Triton X-100 in TBS for 5-10 minutes and blocked with 3% BSA-PBS for 30 minutes at room temperature. Cells were probed with the primary antibody in 3% BSA-PBS and incubated overnight at 4 °C in a hidified chamber. Cells were washed with PBST and incubated with a Alexa Fluor 488-conjugated secondary antibody (green) in PBS at room temperature in the dark.
Product Name:Anti-p16 INK4a Antibody
Cat No:CQA4029
Source:Rabbit
Reactivity:H, M, R
Applications:WB, IH, IF/IC
*Application Key:
H - Human, M - Mouse, R - Rat, B - Bovine, C - Chicken, D - Dog, G - Goat, Mk - Monkey, P - Pig, Rb - Rabbit, S - Sheep, Z - Zebrafish
*Species Reactivity Key:
E- ELISA, WB - Western blot, IH - Immunohistochemistry, IF - Immunofluorescence, FC - Flow cytometry, IC - Immunocytochemistry, IP - Immunoprecipitation, ChIP - Chromatin Immunoprecipitation, EMSA - Electrophoretic Mobility Shift Assay, BL - Blocking, SE - Sandwich ELISA, CBE - Cell-based ELISA, RNAi - RNA interference
Size
Price(USD)
200 μl
350
100 μl
220
50 μl
150
30 μl
110
Add to cart Ship in 3 days My orders
Description:Rabbit polyclonal antibody to p16 INK4a
Immunogen:KLH-conjugated synthetic peptide of human p16 INK4a. The exact sequence is proprietary.
Purification:The antibody was purified by immunogen affinity chromatography.
Clonality:Polyclonal
Form:Liquid in 0.42% Potassium phosphate, 0.87% Sodium chloride, pH 7.3, 30% glycerol, and 0.01% sodium azide.
Dilution:WB (1/500 - 1/2000), IH (1/50 - 1/200), IF/IC (1/50 - 1/200)
Gene Symbol:CDKN2A
Alternative Names:CDKN2; MTS1; Cyclin-dependent kinase inhibitor 2A isoforms 1/2/3; Cyclin-dependent kinase 4 inhibitor A; CDK4I; Multiple tumor suppressor 1; MTS-1; p16-INK4a; p16-INK4; p16INK4A
Entrez Gene (Human): 1029;
Entrez Gene (Mouse): 12578;
Entrez Gene (Rat): 25163;
SwissProt (Human): P42771;
SwissProt (Mouse): P51480;
SwissProt (Rat): Q9R0Z3;
Storage/Stability:Shipped at 4°C. Upon delivery aliquot and store at -20°C for one year. Avoid freeze/thaw cycles.
  • Western blot analysis of p16 INK4a expression in HeLa (A), MCF7 (B) whole cell lysates. (Predicted band size: 8; 11; 12; 13; 16; 17 kD; Observed band size: 17 kD)
  • Immunohistochemical analysis of p16 INK4a staining in mouse testis formalin fixed paraffin embedded tissue section. The section was pre-treated using heat mediated antigen retrieval with sodium citrate buffer (pH 6.0). The section was then incubated with the antibody at room temperature and detected using an HRP conjugated compact polymer system. DAB was used as the chromogen. The section was then counterstained with haematoxylin and mounted with DPX.
  • Immunofluorescent analysis of p16 INK4a staining in A549 cells. Formalin-fixed cells were permeabilized with 0.1% Triton X-100 in TBS for 5-10 minutes and blocked with 3% BSA-PBS for 30 minutes at room temperature. Cells were probed with the primary antibody in 3% BSA-PBS and incubated overnight at 4 °C in a hidified chamber. Cells were washed with PBST and incubated with a Alexa Fluor 488-conjugated secondary antibody (green) in PBS at room temperature in the dark.
COHESION BIOSCIENCES LIMITED
Copyright © 2022 Cohesion Biosciences. All Rights Reserved