Welcome to Cohesion Biosciences
Home> Products > Primary Antibody
CQA3977
  • Western blot analysis of CASC5 expression in U87MG (A), HeLa (B) whole cell lysates. (Predicted band size: 195; 205; 262; 265 kD; Observed band size: 300 kD)
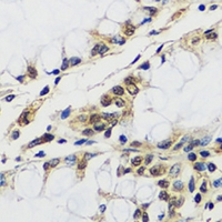
  • Immunohistochemical analysis of CASC5 staining in human colon formalin fixed paraffin embedded tissue section. The section was pre-treated using heat mediated antigen retrieval with sodium citrate buffer (pH 6.0). The section was then incubated with the antibody at room temperature and detected using an HRP conjugated compact polymer system. DAB was used as the chromogen. The section was then counterstained with haematoxylin and mounted with DPX.
Product Name:Anti-CASC5 Antibody
Cat No:CQA3977
Source:Rabbit
Reactivity:H
Applications:WB, IH, IF/IC
*Application Key:
H - Human, M - Mouse, R - Rat, B - Bovine, C - Chicken, D - Dog, G - Goat, Mk - Monkey, P - Pig, Rb - Rabbit, S - Sheep, Z - Zebrafish
*Species Reactivity Key:
E- ELISA, WB - Western blot, IH - Immunohistochemistry, IF - Immunofluorescence, FC - Flow cytometry, IC - Immunocytochemistry, IP - Immunoprecipitation, ChIP - Chromatin Immunoprecipitation, EMSA - Electrophoretic Mobility Shift Assay, BL - Blocking, SE - Sandwich ELISA, CBE - Cell-based ELISA, RNAi - RNA interference
Size
Price(USD)
200 μl
350
100 μl
220
50 μl
150
30 μl
110
Add to cart Ship in 3 days My orders
Description:Rabbit polyclonal antibody to CASC5
Immunogen:Recombinant fusion protein of human CASC5. The exact sequence is proprietary.
Purification:The antibody was purified by immunogen affinity chromatography.
Clonality:Polyclonal
Form:Liquid in 0.42% Potassium phosphate, 0.87% Sodium chloride, pH 7.3, 30% glycerol, and 0.01% sodium azide.
Dilution:WB (1/500 - 1/2000), IH (1/50 - 1/200), IF/IC (1/50 - 1/200)
Gene Symbol:CASC5
Alternative Names:KIAA1570; KNL1; Protein CASC5; ALL1-fused gene from chromosome 15q14 protein; AF15q14; Bub-linking kinetochore protein; Blinkin; Cancer susceptibility candidate gene 5 protein; Cancer/testis antigen 29; CT29; Kinetochore-null protein 1; Protein D40/AF15q14
Entrez Gene (Human): 57082;
SwissProt (Human): Q8NG31;
Storage/Stability:Shipped at 4°C. Upon delivery aliquot and store at -20°C for one year. Avoid freeze/thaw cycles.
  • Western blot analysis of CASC5 expression in U87MG (A), HeLa (B) whole cell lysates. (Predicted band size: 195; 205; 262; 265 kD; Observed band size: 300 kD)
  • Immunohistochemical analysis of CASC5 staining in human colon formalin fixed paraffin embedded tissue section. The section was pre-treated using heat mediated antigen retrieval with sodium citrate buffer (pH 6.0). The section was then incubated with the antibody at room temperature and detected using an HRP conjugated compact polymer system. DAB was used as the chromogen. The section was then counterstained with haematoxylin and mounted with DPX.
COHESION BIOSCIENCES LIMITED
Copyright © 2022 Cohesion Biosciences. All Rights Reserved