Welcome to Cohesion Biosciences
Home> Products > Primary Antibody
CQA3966
  • Western blot analysis of CaMK2 alpha expression in HEK293T (A), mouse brain (B), rat lung (C) whole cell lysates. (Predicted band size: 54; 55 kD; Observed band size: 54 kD)
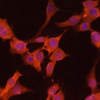
  • Immunofluorescent analysis of CaMK2 alpha staining in NIH3T3 cells. Formalin-fixed cells were permeabilized with 0.1% Triton X-100 in TBS for 5-10 minutes and blocked with 3% BSA-PBS for 30 minutes at room temperature. Cells were probed with the primary antibody in 3% BSA-PBS and incubated overnight at 4 °C in a hidified chamber. Cells were washed with PBST and incubated with a Alexa Fluor 594-conjugated secondary antibody (red) in PBS at room temperature in the dark.
Product Name:Anti-CaMK2 alpha Antibody
Cat No:CQA3966
Source:Rabbit
Reactivity:H, M, R
Applications:WB, IF/IC
*Application Key:
H - Human, M - Mouse, R - Rat, B - Bovine, C - Chicken, D - Dog, G - Goat, Mk - Monkey, P - Pig, Rb - Rabbit, S - Sheep, Z - Zebrafish
*Species Reactivity Key:
E- ELISA, WB - Western blot, IH - Immunohistochemistry, IF - Immunofluorescence, FC - Flow cytometry, IC - Immunocytochemistry, IP - Immunoprecipitation, ChIP - Chromatin Immunoprecipitation, EMSA - Electrophoretic Mobility Shift Assay, BL - Blocking, SE - Sandwich ELISA, CBE - Cell-based ELISA, RNAi - RNA interference
Size
Price(USD)
200 μl
350
100 μl
220
50 μl
150
30 μl
110
Add to cart Ship in 3 days My orders
Description:Rabbit polyclonal antibody to CaMK2 alpha
Immunogen:KLH-conjugated synthetic peptide of human CaMK2 alpha. The exact sequence is proprietary.
Purification:The antibody was purified by immunogen affinity chromatography.
Clonality:Polyclonal
Form:Liquid in 0.42% Potassium phosphate, 0.87% Sodium chloride, pH 7.3, 30% glycerol, and 0.01% sodium azide.
Dilution:WB (1/500 - 1/2000), IF/IC (1/50 - 1/200)
Gene Symbol:CAMK2A
Alternative Names:CAMKA; KIAA0968; Calcium/calmodulin-dependent protein kinase type II subunit alpha; CaM kinase II subunit alpha; CaMK-II subunit alpha
Entrez Gene (Human): 815;
Entrez Gene (Mouse): 12322;
Entrez Gene (Rat): 25400;
SwissProt (Human): Q9UQM7;
SwissProt (Mouse): P11798;
SwissProt (Rat): P11275;
Storage/Stability:Shipped at 4°C. Upon delivery aliquot and store at -20°C for one year. Avoid freeze/thaw cycles.
  • Western blot analysis of CaMK2 alpha expression in HEK293T (A), mouse brain (B), rat lung (C) whole cell lysates. (Predicted band size: 54; 55 kD; Observed band size: 54 kD)
  • Immunofluorescent analysis of CaMK2 alpha staining in NIH3T3 cells. Formalin-fixed cells were permeabilized with 0.1% Triton X-100 in TBS for 5-10 minutes and blocked with 3% BSA-PBS for 30 minutes at room temperature. Cells were probed with the primary antibody in 3% BSA-PBS and incubated overnight at 4 °C in a hidified chamber. Cells were washed with PBST and incubated with a Alexa Fluor 594-conjugated secondary antibody (red) in PBS at room temperature in the dark.
COHESION BIOSCIENCES LIMITED
Copyright © 2022 Cohesion Biosciences. All Rights Reserved