Welcome to Cohesion Biosciences
Home> Products > Primary Antibody
CQA3924
  • Western blot analysis of RNF52 expression in HepG2 (A), mouse brain (B), rat testis (C) whole cell lysates. (Predicted band size: 47; 67 kD; Observed band size: 72 kD)
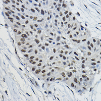
  • Immunohistochemical analysis of RNF52 staining in human lung cancer formalin fixed paraffin embedded tissue section. The section was pre-treated using heat mediated antigen retrieval with sodium citrate buffer (pH 6.0). The section was then incubated with the antibody at room temperature and detected using an HRP conjugated compact polymer system. DAB was used as the chromogen. The section was then counterstained with haematoxylin and mounted with DPX.
Product Name:Anti-RNF52 Antibody
Cat No:CQA3924
Source:Rabbit
Reactivity:H, M, R
Applications:WB, IH
*Application Key:
H - Human, M - Mouse, R - Rat, B - Bovine, C - Chicken, D - Dog, G - Goat, Mk - Monkey, P - Pig, Rb - Rabbit, S - Sheep, Z - Zebrafish
*Species Reactivity Key:
E- ELISA, WB - Western blot, IH - Immunohistochemistry, IF - Immunofluorescence, FC - Flow cytometry, IC - Immunocytochemistry, IP - Immunoprecipitation, ChIP - Chromatin Immunoprecipitation, EMSA - Electrophoretic Mobility Shift Assay, BL - Blocking, SE - Sandwich ELISA, CBE - Cell-based ELISA, RNAi - RNA interference
Size
Price(USD)
200 μl
350
100 μl
220
50 μl
150
30 μl
110
Add to cart Ship in 3 days My orders
Description:Rabbit polyclonal antibody to RNF52
Immunogen:Recombinant fusion protein of human RNF52. The exact sequence is proprietary.
Purification:The antibody was purified by immunogen affinity chromatography.
Clonality:Polyclonal
Form:Liquid in 0.42% Potassium phosphate, 0.87% Sodium chloride, pH 7.3, 30% glycerol, and 0.01% sodium azide.
Dilution:WB (1/500 - 1/2000), IH (1/50 - 1/200)
Gene Symbol:BRAP
Alternative Names:RNF52; BRCA1-associated protein; BRAP2; Impedes mitogenic signal propagation; IMP; RING finger protein 52; Renal carcinoma antigen NY-REN-63
Entrez Gene (Human): 8315;
Entrez Gene (Mouse): 72399;
SwissProt (Human): Q7Z569;
SwissProt (Mouse): Q99MP8;
Storage/Stability:Shipped at 4°C. Upon delivery aliquot and store at -20°C for one year. Avoid freeze/thaw cycles.
  • Western blot analysis of RNF52 expression in HepG2 (A), mouse brain (B), rat testis (C) whole cell lysates. (Predicted band size: 47; 67 kD; Observed band size: 72 kD)
  • Immunohistochemical analysis of RNF52 staining in human lung cancer formalin fixed paraffin embedded tissue section. The section was pre-treated using heat mediated antigen retrieval with sodium citrate buffer (pH 6.0). The section was then incubated with the antibody at room temperature and detected using an HRP conjugated compact polymer system. DAB was used as the chromogen. The section was then counterstained with haematoxylin and mounted with DPX.
COHESION BIOSCIENCES LIMITED
Copyright © 2022 Cohesion Biosciences. All Rights Reserved