Welcome to Cohesion Biosciences
Home> Products > Primary Antibody
CQA3860
  • Western blot analysis of ASCL4 expression in HEK293T (A), MCF7 (B) whole cell lysates. (Predicted band size: 19 kD; Observed band size: 19 kD)
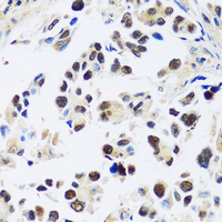
  • Immunohistochemical analysis of ASCL4 staining in human lung cancer formalin fixed paraffin embedded tissue section. The section was pre-treated using heat mediated antigen retrieval with sodium citrate buffer (pH 6.0). The section was then incubated with the antibody at room temperature and detected using an HRP conjugated compact polymer system. DAB was used as the chromogen. The section was then counterstained with haematoxylin and mounted with DPX.
Product Name:Anti-ASCL4 Antibody
Cat No:CQA3860
Source:Rabbit
Reactivity:H, M, R
Applications:WB, IH
*Application Key:
H - Human, M - Mouse, R - Rat, B - Bovine, C - Chicken, D - Dog, G - Goat, Mk - Monkey, P - Pig, Rb - Rabbit, S - Sheep, Z - Zebrafish
*Species Reactivity Key:
E- ELISA, WB - Western blot, IH - Immunohistochemistry, IF - Immunofluorescence, FC - Flow cytometry, IC - Immunocytochemistry, IP - Immunoprecipitation, ChIP - Chromatin Immunoprecipitation, EMSA - Electrophoretic Mobility Shift Assay, BL - Blocking, SE - Sandwich ELISA, CBE - Cell-based ELISA, RNAi - RNA interference
Size
Price(USD)
200 μl
350
100 μl
220
50 μl
150
30 μl
110
Add to cart Ship in 3 days My orders
Description:Rabbit polyclonal antibody to ASCL4
Immunogen:Recombinant fusion protein of human ASCL4. The exact sequence is proprietary.
Purification:The antibody was purified by immunogen affinity chromatography.
Clonality:Polyclonal
Form:Liquid in 0.42% Potassium phosphate, 0.87% Sodium chloride, pH 7.3, 30% glycerol, and 0.01% sodium azide.
Dilution:WB (1/500 - 1/2000), IH (1/50 - 1/200)
Gene Symbol:ASCL4
Alternative Names:BHLHA44; HASH4; Achaete-scute homolog 4; ASH-4; hASH4; Achaete-scute-like protein 4; Class A basic helix-loop-helix protein 44; bHLHa44
Entrez Gene (Human): 121549;
SwissProt (Human): Q6XD76;
Storage/Stability:Shipped at 4°C. Upon delivery aliquot and store at -20°C for one year. Avoid freeze/thaw cycles.
  • Western blot analysis of ASCL4 expression in HEK293T (A), MCF7 (B) whole cell lysates. (Predicted band size: 19 kD; Observed band size: 19 kD)
  • Immunohistochemical analysis of ASCL4 staining in human lung cancer formalin fixed paraffin embedded tissue section. The section was pre-treated using heat mediated antigen retrieval with sodium citrate buffer (pH 6.0). The section was then incubated with the antibody at room temperature and detected using an HRP conjugated compact polymer system. DAB was used as the chromogen. The section was then counterstained with haematoxylin and mounted with DPX.
COHESION BIOSCIENCES LIMITED
Copyright © 2022 Cohesion Biosciences. All Rights Reserved